
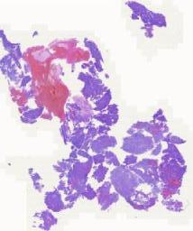
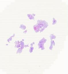
临床资料: 女性,37岁,鞍区占位 主诉:停经一年半余 实验室检查: 泌乳素:33.60ng/ml 头颅CT及MRI:脑部核磁共振检查发现鞍区见一不规则肿块,肿块在T1加权图像上呈等密度信号,局部高密度信号(图a);T2加权图像上呈低密度信号(图b);增强后明显强化(图c)。 既往史:患者约1年半前无明显诱因突然停经,余无特殊不适,1年前患者月经仍未来潮,遂至外院就诊,予以雌激素补充对症处理,查泌乳素升高,后患者月经仍未改善,期间出现一过性头痛伴视物模糊,患者再至外院就诊,予以口服溴隐亭治疗。 术中所见:术中鞍底骨质局部隆起变薄,电凝十字切开此处鞍底硬膜,即见肿瘤组织,肿瘤包膜完整,质地不均,肿瘤内有少许豆渣样物,其余组织成分质地韧,与周围结构粘连紧密。
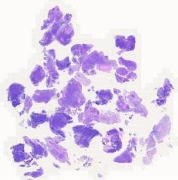
大体所见: 灰黄灰白碎组织一堆,大小3.2 cm×2.5cm×1.5cm,切面灰黄质中,局部见囊壁样物。
附 件: 讨论1 中科大附一院.docx
临床资料: 男性,21岁,发作性四肢抽搐伴意识障碍14个月余 头颅CT及MRI:头部CT示右颞顶叶小片状稍低密度影,边缘模糊,内见斑片状钙化影,考虑为右颞顶叶占位,建议MRI检查。MRI示右颞枕叶底面内侧可见片状不均匀长T1长T2信号影,Flair可见稍高信号。DWI可见不均匀小片状稍高信号。增强后,右颞枕叶内侧病变可见片状不均匀强化影,病变边界不清。PWI:右颞枕叶内侧病变区CBF、CBV灌注稍增高。MRS:右颞枕叶病变NAA峰明显减低,Cho峰明显增高,可见脂质乳酸峰。影像学诊断:右颞枕叶内侧占位,考虑为胶质瘤可能性大。 术中所见:术中见肿瘤位于右颞枕,大小约3.8×2.6×1.8cm,呈灰白色,质韧,血供一般,边界不清。肿瘤向下方达中颅窝底,并突入侧脑室三角区内生长。
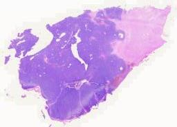
大体所见: 灰白、灰褐破碎组织一堆,切面灰白、灰褐质软,总大小4.5x4.5x2.7cm。
临床资料: 男性,6岁,左侧额叶占位 主诉:右侧手脚活动不协调2周 病史:2周前患者无明显诱因出现右侧手脚活动不协调,表现为右侧上下肢体乏力,当地医院行头部CT及MRI示左侧额叶占位和右侧颞叶占位。查体:右侧肢体肌力4-级,左侧肢体肌力5级,生理反射存在,病理反射未引出。 头颅MRI: 左侧额叶见团块状囊实性肿块影,较大层面约7.2×6.7×6.3cm,实性部分呈稍长T1信号影,水抑制序列呈稍高信号,弥散受限,增强后病灶呈不规则花环状强化,病灶周围见片状长T1长T2水肿带,邻近侧脑室明显受压变窄,中线结构向右侧偏移。右侧颞部颅板下见一大小约2.4×1.9cm稍长信号结节,在水抑制序列上呈高信号,弥散受限,增强后病灶呈明显强化,似见脑膜尾征。 术中所见(左额叶占位切除术): 病变主体位于左侧额叶、基底节,灰红色、质软,局部呈鱼肉状,内侧达侧脑室外侧壁,病灶与周围脑组织分界不清,血供略丰富。
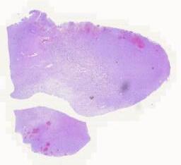
大体所见: 灰红灰白不整形组织多块,总体积2.5cm×2.0cm×0.5cm。
附 件: 讨论3 四川大学华西医院.docx
临床资料: 男性,39岁,右侧基底节区占位 主诉:左侧肢体麻木伴持物及行走不稳20余天,加重1周。 体征:肌力下降:左上肢II级,左下肢II级。余未见特殊。 头颅MRI:右侧基底节区、侧脑室旁及半卵圆中心囊实性、实性占位。 术中所见:术中B超见病变位于右基底节区,累及内囊后肢,病变周围的脑回肿胀,脑沟变浅。术中皮层下1.5cm见可疑肿瘤组织,呈灰白和灰红色相间,质韧,无包膜,血运丰富,浸润性生长,与周围正常脑组织无明确界限,局部可见血肿。
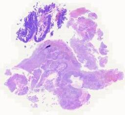
大体所见: 送检灰白色组织,共大约3.5 ×3.0 ×1.8cm,切面灰白色,质地中等。
附 件: 讨论4 天津医科大学总医院.docx
临床资料: 女性,57岁,发现右侧额颞叶、右侧侧脑室旁占位2月余 主诉:左侧肢体运动障碍2月余。 现病史:患者于10月无明显诱因出现语言混乱,逐渐加重左侧肢体运动障碍,偶伴短期记忆障碍,偶伴头晕、呕吐、头痛。逐就诊于当地医院行头颅MRI提示:右侧额颞叶、右侧侧脑室旁占位性病变,考虑为胶质瘤复发;颅内多发缺血灶。患者来我院就诊,门诊以“胶质瘤术后复发”收入院,患者目前精神状态良好,体力正常,纳差,睡眠正常,体重近3个月减少10kg,大便正常,排尿正常。 体格检查:近期记忆力减退,其余未见异常。 颅脑MRI平扫+增强:右侧额颞叶、右侧侧脑室旁占位性病变,考虑胶质瘤复发;颅内多发缺血灶。 既往史:2012年天津环湖医院行开颅胶质瘤切除术,2020年复发,于本院再次行开颅胶质瘤切除术,否认其余手术史,否认外伤史,术后癫痫病史4年余,自行服用拉考沙胺片,控制良好。 术中所见:切开皮肤、皮下、部分颞肌,骨膜下分离,见瘤腔前内下侧肿瘤,与脑组织界限不清,质硬,血运极其丰富,深部肿瘤与基底节关系密切,导航引导下分块切除肿瘤。
大体所见: 灰白色组织一堆,总大小9.8 cm×8 cm×4cm,切面灰红色,实性,质中。
临床资料: 女性,66岁,左耳听力丧失2月余,肢体抽搐1月余 主诉:左耳听力丧失2月余,肢体抽搐1月余 体征:左耳听力下降,呈渐进性,约1月余前左耳听力丧失,四肢抽搐,伴牙关紧闭,伴意识丧失 头颅MRI: 双侧海马及周围结构肿胀,见片状长 T1 长 T2 信号影,FLAIR 像上呈高信 号,DWI 信号不高,左侧为著。左侧颞极见多发结节状长 T1T2 信号影, FLAIR 呈低信号影。幕上脑白质见少量斑片状等 T1 稍长 T2 信号影,FLAIR 为高信号,DWI 为等信号。幕上脑室系统扩张,脑沟、脑池增宽。中线结 构基本居中。左侧大脑脚见片状长 T1 长 T2 信号影。 结论:双侧海马及周围结构改变,请结合临床 2. 左侧大脑脚改变,其意义请结合临床 3. 左侧颞极多发囊肿可能性大 4. 幕上白质血管性脱髓鞘(Fazekas 1 级) 5. 老年性脑改变 术中所见:术中见肿瘤位于岩骨嵴,突破硬膜,肿瘤质地硬,包膜较清楚,血供一般,跟岩骨、内耳骨质关系密切。将肿瘤分块切除,受累硬膜一并切除。
大体所见: 灰白碎组织多块,合计大小2.5 cm×2.5 cm×0.5cm。
附 件: 讨论6 青岛大学附属医院.docx
临床资料: 男性,6岁,头痛5天 主诉:头痛5天 现病史:患者于5天前无明显诱因出现头痛,以左右顶枕为著,伴有恶心、呕吐,无意识改变,无肢体抽搐,无大小便异常,查头颅MRI考虑室管膜瘤伴卒中表现,在当地给予脱水、预防癫痫及对症支持治疗,患者症状有所好转,为求进一步诊治就诊于我院。患者发病以来,饮食睡眠可,大小便正常,体重无明显变化。 头颅MRI:右侧脑室体部及后角见多发异常信号影,右侧脑室后角及颞角扩张增宽,DWI显示右侧脑室后角见片状明显高信号影,SWI显示右侧脑室病灶见多发点片状异常低信号影。GD-DTPA后右侧脑室病灶呈轻中度异常强化。诊断意见:右侧脑室肿瘤病变伴出血。 术中所见:脑室壁上较多肿瘤生长,肿瘤质软,边界不清,血运极丰富,切除三角区部位肿瘤,见颞角仍有较多肿瘤侵犯脑室壁,给予切除,再继续向侧脑室体部分离推进,见肿瘤,仔细分离后,切除至可见正常脑组织,显微镜下全切,见侧脑室完全畅通。
大体所见: 灰白色碎软组织一堆,总大小2.5cmx2 cmx1.5cm,质软。
附 件: 讨论7 解放军总医院七中心.docx
临床资料: 女性,33岁,脑干占位 主诉:“头晕1月余”。 头颅MRI:脑干明显肿胀,病灶呈T1WI低信号、T2WI稍高信号,FLAIR上呈高信号,DWI示病灶局部轻度弥散受限,病灶边缘欠清晰,后方的第四脑室受压变窄,增强扫描后病灶大部分不强化,局部可见小斑片状轻度强化,灌注扫描示病灶强化的部分呈稍高灌注,其余部分呈等灌注。 术中所见:术中见脑干肿胀,根据导航及术中B超所示位置见肿瘤组织,淡灰白色黏液样,质中,血供一般,边界欠清,用取瘤镊抓取肿瘤组织。
大体所见: 灰白黏液样碎组织,大小合计1cm×0.8cm×0.2cm。
附 件: 讨论8 江苏省人民医院.docx
临床资料: 男性,23岁,颈椎术后2年,发现胸腰椎结节5月余 主诉:颈椎术后2年余,发现胸腰椎结节5月余 头颅CT及MRI:检查所见:颈1-2椎管内脊髓肿瘤切除术后,局部及邻近软组织呈术后改变,延髓、颈2、胸2椎体水平脊髓旁见结节状等T1、稍长T2信号,增强后轻度强化。 既往史:2年前于我院行颈髓髓内占位手术 术中所见:术中见肿瘤位于硬膜下。色灰红,质地一般,血供丰富,肿瘤与脊髓背侧面及神经根粘连紧密、部分突破软膜,深部可见较为粗大的供血动脉。
大体所见: 灰白碎软组织一堆,大小1 cm×0.5 cm×0.1cm。
附 件: 讨论9 浙大二院.docx
临床资料: 男性,1岁,左侧顶、枕叶占位 主诉:发现颅内占位4天 现病史:患儿4天前发热后出现肢体抽搐,双眼凝视。 头颅MRI:左侧顶、枕叶见两处囊状长T1长T2异常信号,T2 FLAIR呈低信号,边界清,DWI及ADC图未见明显弥散受限,病灶之间分界欠清,大小分别约3.8 × 2.5 × 4.0cm、2.0 × 1.2 × 2.0cm,顶叶病灶边缘见多发结节状等长T1等长T2信号灶,增强扫描可见明显不均匀强化。余脑实质内未见明显异常信号灶,DWI未见明显扩散受限。脑室系统形态未见明显异常。脑沟、脑裂不宽。中线结构无移位。诊断结论:左侧顶枕叶囊实性病变,符合良性肿瘤(多形性黄色星形细胞瘤可能性大)MRI表现。 术中所见:术中肿瘤呈囊实性,囊液呈淡黄色清亮液体,实体呈多个分叶状,质地韧,释放囊液,沿肿瘤包膜分离并切除肿瘤。
大体所见: 灰白碎软组织一堆,大小2.5 cm × 2.2 cm × 4 cm。
附 件: 讨论10 山东省立医院.docx
临床资料: 50岁,女性,右颞异常信号 主 诉: 头晕半年余。 现病史:患者半年前无明显诱因下出现头晕,大多可自行好转。自起病以来患者无癫痫发作,无运动障碍等。遂至当地医院行头颅MRI检查,示右侧颞叶异常信号,胶质瘤可能大。现为进一步手术治疗,收住入院。 术中所见:根据导航,切开前颞叶皮层即见肿瘤,呈灰红色,质地较硬,血供丰富,与周围脑组织边界欠清。取部分组织送冰冻病理提示胶质增生伴核异型,胶质瘤可能大。遂保护好侧裂静脉和Labbe静脉,根据导航和冰冻结果以CUSA逐步分离肿瘤边界,待瘤内减压后分块切除右侧颞叶肿瘤,直到中颅底,后界切除至颞枕交界处前方,前界切除颞极,颞叶岛盖肿瘤切除后,暴露岛叶,最终肿瘤达镜下全切除。术中电生理监测提示运动功能保护完好。术区确切止血后,硬膜严密缝合,骨瓣复位并用连接片固定,皮肌瓣复位逐层缝合如常。手术顺利,术中出血约300ml,未输血,术毕安返NICU病房。
大体所见: 灰白脑样组织大小5.4×5×1.8cm,皮髓质界尚清。
附 件: 讨论11 华山医院.docx
临床资料: 男性,61岁,左额叶占位 主诉:间断头晕1年余 体征:左侧对光反射消失 实验室检查:无特殊 头颅CT及MRI:文字描述+图像(注意隐藏个人信息) CT:左侧额叶直回见类圆形稍低密度灶,边缘欠清,大小约20×13mm,内部密度欠均匀,可见点片状钙化灶,病变周围脑沟稍变平。诊断意见:左侧额叶占位,考虑肿瘤性病变可能。 MRI:左侧额叶直回见类圆形边界欠清之异常信号病灶,有占位改变,大小约20×14mm,增强扫描病灶见点片状轻度强化,局部皮髓质界面模糊不清,皮质及皮质下区受累;诊断意见:左侧额叶直回占位,低级别肿瘤可能,混合性神经元-胶质类成分? 术中所见:切开直回发现灰白色鱼肉状病变组织,血供中等,边界欠清楚,部分病变包绕左额极动脉,与嗅神经有部分粘连。
大体所见: 灰褐组织一块,大小1.5cm×1.2cm×0.5cm
附 件: 讨论12 深圳市第二人民医院.docx
临床资料: 女性,61岁,间断应答错误1月余 主诉:间断应答错误1月余 体征:入院查体:神清,言语欠流利,即刻记忆正常,延时回忆差,地点定向力差,计算力差,命名差,颅神经查体(-),四肢肌力、肌张力、腱反射正常,双侧Chaddock征可疑阳性,感觉共济正常,颈无抵抗,脑膜刺激征阴性。住院期间:言语不利,右侧肢体肌力(上肢0级、下肢3级),左侧肢体肌力4级;颈前、颈后、耳前、耳后可触及肿大淋巴结。 头颅MRI:左侧丘脑、基底节区、左颞岛叶及双侧额顶叶皮层可见斑片状、片状异常信号,T1WI上为稍低信号,T2WI/FLAIR上为高信号,DWI稍高信号,ADC未见信号减低。双侧侧脑室旁、额顶叶皮层下见斑片状异常信号,T1WI上为等信号,T2WI/FLAIR上为高信号。双侧侧脑室周围白质可见点片状异常信号,T1WI上为稍低信号,T2WI/FLAIR上为高信号。左侧侧脑室略受压。 既往史:9年前确诊慢性淋巴细胞性白血病,未行规律化疗,2疗程FCR方案化疗及中医治疗后评估疗效为部分缓解。 术中所见:立体定向活检。
大体所见: 灰褐色不整形组织一堆,总直径0.5cm,质软。
附 件: 讨论13 宣武医院.docx
临床资料: 女性,20岁,左下肢无力伴记忆力下降、头晕头痛1月余 主诉:左下肢无力伴记忆力下降、头晕头痛1月余。 现病史:患者1月余前无明显诱因晨起时突然出现左下肢无力、发软,走路有“踩棉花感”,需要人搀扶行走,偶有跪地,自觉左下肢对痛觉不敏感,触觉正常,不伴肢体麻木、吞咽困难、饮水呛咳、声音嘶哑、尿便障碍等症状。遂至当地急诊完善颅脑CT检查,检查结果示颅内占位性改变(性质原因不明),未予诊治。5天后患者出现记忆力下降,主要表现为爱忘事,经常重复问同一个问题,伴有头痛,部位在双侧颞部,性质为胀痛,口服布洛芬后好转,不伴有复视、视力下降、恶心呕吐等,偶有头晕,主要为昏昏沉沉感,与体位无关。 查体:体温36.5℃,脉搏80次/min,呼吸17次/min,血压130/83 mmHg。简易精神状态检查(MMSE)30分,蒙特利尔认知评估量表(MoCA)30分。神清语利,记忆力下降,双眼各向运动充分,无复视、眼震;双瞳等大正圆,直径3mm,对光反射灵敏。面部针刺觉正常,面纹对称,伸舌居中。四肢肌容积、肌张力正常;左下肢肌力IV-级,余肢体肌力V-级(欠合作)。双侧深浅感觉基本对称。双上肢腱反射对称(++);左下肢腱反射(+++),右下肢腱反射(++);左Babinski征、Chaddock征(+)。脑膜刺激征(-)。 实验室检查:血尿便三大常规、凝血、生化、降钙素原、肿瘤标志物、风湿三项、免疫球蛋白、轻链蛋白、甲功七项、免疫球蛋白固定电泳、抗磷脂综合征相关抗体组合、抗中性粒细胞胞浆抗体、抗脑组织抗体、抗中性粒细胞胞浆抗体、抗角蛋白抗体、自身免疫性脑炎抗体谱未见明显异常。 辅助检查:颅脑MR增强示双侧额顶叶、枕叶及胼胝体占位,淋巴瘤?弥漫性胶质瘤?
大体所见: 送检灰白破碎条索样组织0.9 cm *0.7cm*0.7cm。
临床资料: 现病史:患者于2023年1月份行走时无明显诱因突发左侧肢体无力,不能正常行走,伴左手持物笨拙,无言语不清、意识障碍等症状。在当地医院入院后结合影像学考虑炎症或转移瘤可能,给与地塞米松5mg治疗,同时降颅压、降血压等治疗。入院一周后在全麻下行“幕上右额叶深部病变切除术”。 头颅MRI:右额颞叶多发占位,伴增强及周围水肿影,较大者大小约3.4×2.7cm,考虑肿瘤性病变,转移瘤不除外。 既往史:高血压病史10余年,最高180/100 mmHg 疾病进展:患者于4月初再次出现左侧肢体无力加重,水肿伴麻木及烧灼感,行走困难,5月复查MRI显示右侧顶叶大脑镰旁新增强化病灶伴周围水肿带。脑脊液检测IgG增高,抗AQP4抗体、抗MOG抗体等检测均阴性。行PET-CT检测示右侧顶叶近大脑镰旁等密度结节灶,葡萄糖代谢异常增高,SUV最大值37.1。患者于2023年11月再度手术切除大脑镰旁病灶。
大体所见: 白灰红不整软组织,大小3 cm×2cm×1cm。
附 件: 讨论15 西京医院.doc
临床资料: 女性,40岁,头痛20余天 主诉:头痛20余天 体征:患者神志清楚,言语流利,双侧瞳孔等大等圆,对光灵敏,鼻唇沟对称,伸舌居中,余颅神经未见异常。四肢肢体肌力5级,肌张力正常,腱反射对称活跃,病理征未引出。共济运动正常,深浅感觉正常。颈软,双克氏征阴性。 实验室检查:血常规30A:淋巴细胞百分比19.6%↓,红细胞计数3.75×10^12/L↓,血红蛋白量86g/L↓,红细胞比积0.285L/L↓,平均红细胞体积75.9fL↓,平均红细胞血红蛋白量实测22.1pg↓,平均红细胞血红蛋白量计算22.9pg↓,平均红细胞血红蛋白浓度实测293.0g/L↓,平均红细胞血红蛋白浓度计算302.0g/L↓,红细胞体积分布宽度17.2%↑,血小板计数568×10^9/L↑,血小板体积分布宽度34.5%↓,血小板比积0.55%↑。C-反应蛋白(CRP):C-反应蛋白54.10mg/L↑。常规生化全套:白蛋白37.1g/L↓,碱性磷酸酶131U/L↑,肌酸激酶23U/L↓,肌酐38.0umol/L↓,载脂蛋白A11.15g/L↓。尿常规10项:蛋白质0.15(+-)g/l↑,潜血10(+-)个/μL↑。凝血全套:凝血酶原时间13.5秒↑,纤维蛋白原5.60g/L↑。 头颅CT及MRI:头颅MRI示,左侧额部见一团块状异常信号区,大小约4.8cm×5.9cm×6.2cm,T1WI呈等-低信号,T2WI呈稍低信号,FLAIR呈等-稍高信号,DWI信号不高,增强呈明显强化,可见硬膜尾征,邻近脑实质受压改变,左侧侧脑室前角受压变窄,中线结构向右偏移,病灶穿透额骨骨质向外生长,左眼球后脂肪、外直肌受压。余双侧大脑半球灰白质分界清楚,未见局灶性异常信号影,各脑室、脑池形态未见异常,中线结构居中,幕下小脑、脑干无异常;矢状面示垂体大小形态正常。 既往史:平素体健,3月前于外院行胆囊切除术,术顺,术后恢复可,无特殊。 术中所见:术中见左侧颞部鳞状部肿瘤侵蚀,肿瘤突向颅外。显微镜下暴露肿瘤,肿瘤边界清楚,质韧,色灰红,血供丰富,肿瘤基底附着于鞍膈及左侧鞍背上,肿瘤包饶左侧大脑中动脉,仔细分离后全切除肿瘤。
大体所见: 灰黄灰红组织一堆,大小合约12 cm×11 cm×4cm,切面灰黄灰红,质中。
临床资料: 44岁,女性,右侧额叶占位 病史:体检发现右侧额叶占位1周入院。 查体:患者神清,精神可,无认知功能障碍。双侧瞳孔等大等圆,直径约3mm,对光反射灵敏,无眼睑下垂或复视。颅神经检查未见明显异常,肌张力正常,病理反射阴性,无脑膜刺激征。 影像学检查:CT示右额叶示一类圆形稍低密度影,边界不清,病灶周围示不规则片状水肿区,MRI检查示右额叶一类圆形T1W1低信号影,直径约为1.0cm,增强扫描可见明显环形强化,中央示小片状无强化区,周围可见片状水肿。
大体所见: 术后送检组织为淡黄色结节状组织数块,总大小为1.5cm*1.2cm*0.5cm,大着半球形,表面光滑,中央囊性,内容物流失,壁厚0.2-0.3cm,切面灰黄质中。
临床资料: 女性,21岁,双下肢疼痛伴腰部酸痛3月余 主诉:双下肢疼痛伴腰部酸痛3月余 现病史:3月前无明显左侧下肢及右侧小腿疼痛,行走及体位变化时疼痛明显。否认下肢浅感觉麻木及浅感觉异常,否认肢体无力。就诊当地医院,行MRI检查提示椎管内占位。为求进一步治疗,就诊我院门诊,复查MRI示:胸10-腰2椎体水平椎管内异常信号:胸10椎体水平或以上脊髓病变伴其下方脊髓空洞待除,建议胸椎平扫+增强进一步检查;腰椎稍侧弯。胸11-12椎体上下缘许莫氏结节压迹。患者自患病以来,饮食可,睡眠可,二便如常,体重无明显变化。 MRI:胸10-腰2椎体水平椎管内见条片状T1WI等、T2WI高信号影,其内可见线状分割线影,边界清楚,大小约15*12*11mm,增强扫描胸10椎体水平可见斑片状明显强化影,余囊壁及分隔可见轻度强化。胸10-腰2椎体水平椎管内异常信号:胸10椎体水平或以上脊髓病变伴其下方脊髓空洞待除。 术中所见:术中见肿瘤位于髓内,色灰红,质中,无包膜,与周围脊髓粘连极其紧密,血供中等,肿瘤上下空洞可见陈旧性出血后含铁血黄素沉积。电生理监测下沿肿瘤周边分离。
大体所见: 灰黄灰褐一块,1.5cm×1cm×0.8cm,切面灰黄灰褐,质软,全-1
附 件: 讨论18 北京市神经外科研究所.docx
临床资料: 男性,19岁,松果体区占位 主诉:5天前无明显诱因出现头晕,伴视物模糊,偶伴头部及颈椎疼痛,头痛以枕部为主,无意识不清,2天前上述症状加重,并出现恶心、呕吐,伴浑身无力,食欲下降,走路不稳,无大小便失禁。 头颅MRI:松果体区可见一团块状异常信号影,呈T1低、T2高、FLAIR高信号,信号欠均匀,边界清楚,大小约5.6×4.1×5.4cm,增强扫描后病变呈不均匀强化,第三脑室后部、中脑导水管受压变形,双侧丘脑、颞叶深部、脑干及小脑明显受压。右额部颅板下可见一囊状T1低、T2高、FLAIR低信号影,大小约2.4×2.3cm,临近脑室受压。右侧半卵圆中心可见一斑点状T1等、T2高、FLAIR稍高信号,双侧侧脑室周围可见对称性T1低稍低、T2高、FLAIR高信号。诊断:1松果体区肿物,考虑生殖细胞瘤可能、2、考虑右侧半卵圆中心少许非特异性脑白质改变;3、考虑右额部蛛网膜囊肿可能;4、考虑双侧侧脑室、第三脑室前部扩张积水伴双侧侧脑室周围间质性水肿。 术中所见:剪开硬脑膜,脑组织张力高,术中穿刺脑室释放脑脊液,可见脑张力下降,分离纵裂,可见肿瘤位于松果体区,呈紫红色,与周围脑组织及静脉系统粘连紧密,电灼小脑幕并切开,进一步显露肿瘤,质中等,色灰红,血供极其丰富,分块切除部分肿瘤,标本送病理,残余肿瘤与脑组织及血管粘连紧密,切除风险极高,予以残留。
大体所见: 灰白碎软组织一堆,直径约2cm。
附 件: 讨论19 河北医科大学第二医院.docx
临床资料: 男性,17岁,突发头晕、头痛1天 主诉:突发头晕、头痛1天 体征:生理反射存在,病理反射未引出 头颅MRI:右侧侧脑室内见一椭圆形肿块影,大小约33mm×25mm×23mm,T1WI呈稍低信号,T2WI呈等信号,病灶内掺杂片状T1WI高信号、T2WI低信号影,病灶实性成分在DWI呈高信号,ADC图呈低信号。 术中所见:肿瘤位于右侧侧脑室内,色灰红,血供一般,质地偏软。肿瘤深部与侧脑室体部脉络丛关系密切,肿瘤外侧与脑室边丘脑面界限不清。
大体所见: 灰白灰黄色碎组织一堆,大小共计2.5cm×2cm×0.4cm。
附 件: 讨论20 东部战区总医院.docx
临床资料: 女性,55岁,左肩疼痛1年余 主诉:左肩疼痛1年余。 体征:发育正常,营养中等,神志清楚,精神可,言语流利,记忆力、计算力、定向力下降等高级认知功能正常。瞳孔等大等圆,无眼震、无复视,双侧额纹对称,双侧鼻唇沟对称,伸舌居中。四肢肌力、肌张力正常,四肢腱反射存在。脑膜刺激征阴性,病理征未引出。 实验室检查:血常规示中性粒细胞计数6.47*109g/L(1.8-6.3)升高,尿常规白细胞及细菌计数升高,凝血功能检测显示纤维蛋白原6.6g/L升高(1.8-3.5),肝、肾功能及电解质正常。脑脊液淡黄色、浑浊,未见凝固物,潘氏实验阳性。脑脊液生化检测结果:肌酸激酶 11.5 U/L(0-1)、脑脊液蛋白 1.09 g/L (0.15-0.45)和乳酸 4.52 mmol/L(1.1-2.4)升高,氯 1114.9 mmol/L(120-135)和葡萄糖 1.27 mmol/L(2.5-4.5)偏低,乳酸脱氢酶 25.8 U/L (8-32)正常。 颈椎MRI:颈4-5椎体层面椎管内髓外硬膜下可见卵圆形等、稍低T1信号影,大小约18mm×10mm×15mm,病变局部与左侧神经根鞘关系密切,增强扫描呈明显不均匀强化,前下缘似见脊膜尾征,脊髓受压移位。诊断:颈4-5椎体层面椎管内髓外硬膜下占位性病变,考虑神经鞘瘤或脊膜瘤可能。 既往史:患者既往有高血压3年余,药物治疗,血压控制尚可。右侧乳腺癌术后9年;右侧锁骨下支架术后2年;左侧颈动脉术后2年。否认心脏病史,否认糖尿病、脑血管疾病病史,否认肝炎、结核、疟疾病史,预防接种史随当地进行,否认外伤、输血、献血史,否认食物、药物过敏史。 术中所见:行颈4-5椎管内病损切除术,术中见肿瘤附着于脊神经和硬脊膜,呈长柱状,质地韧,鱼肉状,肿瘤边界清楚,脊髓明显受压,沿边界完全切除肿瘤组织。
大体所见: 灰红灰白软组织一堆,大小2 cm×1 cm×0.6cm,切面灰白、实性,质中,全取。
附 件: 讨论21 河南省人民医院.docx
临床资料: 男性,12岁,反复头痛3年,加重伴嘴角歪斜、左臂麻木1周 主诉:反复头痛3年,加重伴嘴角歪斜、左臂麻木1周。 体征:神志清醒,生命征平稳,言语对答切题,GCS评分15分,双侧瞳孔等圆等大,直径约2.0mm,对光反射灵敏,视力、视野基本正常,嘴角向右侧偏斜,左侧额纹、左侧鼻唇沟较右侧浅,伸舌居中,颈软,四肢肌力Ⅴ级,左上肢肌力较右侧稍差,轻瘫试验左侧阳性,生理反射存在,病理反射未引出。 实验室检查:血常规、凝血功能未见明显异常。 头颅CT及MRI: 头颅CT检查示右侧颞部及基底节见一囊性为主的囊实性占位性病变,实性部分呈等至稍高密度,囊性部分呈低密度,其内可见分隔(红色箭头所示),(图A)。T2WI右侧颞部脑表区及基底节示不规则囊状高信号影,其内示多发线样低信号影,范围约69×78×71mm,周围示环形短T2信号(图B);T1WI增强呈不均匀高信号,邻近脑组织受压,邻近硬脑膜增厚并呈高信号(绿色箭头所示),右侧侧脑室受压,中线结构左偏(图C及图D)。考虑脑膜源性肿瘤。 既往史及个人史:足月出生,出生时足根血检测示“G6PD缺乏”,未正规诊断及治疗。 术中所见:术中见右侧额顶部硬膜张力稍高,显微镜下沿肿瘤边缘剪开硬膜,可见肿瘤,质韧,逐步分离肿瘤与脑组织,肿瘤血供不丰富。
大体所见: 灰白色碎组织一堆,大小12cm*11cm*3cm,切面灰白,黏液感,质韧。
附 件: 讨论22 广东三九脑科医院.docx
临床资料: 女性,13岁,发现右额叶占位5天 主诉:头晕呕吐半年余,发现右额叶占位5天 体征:发育正常,营养良好,无皮疹、无皮下出血,全身浅表淋巴结无重大,头颅:无畸形、压痛,无包块;无眼睑水肿。双侧瞳孔等大等圆,对光反射灵敏。巴宾斯基征、克氏征等阴性。 实验室检查: 头颅CT及MRI:右侧额颞叶囊实性占位 既往史:身体健,无特殊。 术中所见:术中见肿瘤位于右额叶,囊实性,血供一般;神经导航确定肿瘤边界,向前切除额极,向内近大脑镰,向深面达侧脑室壁,并切除肿瘤及肿瘤囊壁。
大体所见: 灰红肿物一个,大小5.5 cm×5cm×3cm;碎组织一堆,直径约1cm。
附 件: 展示1 中山大学肿瘤防治中心.docx
临床资料: 男,10岁,右顶叶巨大占位 主诉:头痛伴恶心呕吐一周 现病史:患者一周前无明显诱因出现头痛伴恶心呕吐,于当地医院以“鼻窦炎”治疗,未见明显好转,后于当地医院行头颅CT提示“右顶叶巨大占位伴脑疝形成”。 体征:体温36.5℃,脉搏80次/分,呼吸20次/分,血压125/86mmHg,神志清楚,双侧瞳孔等大等圆,对光反射灵敏,视野无缺损,颈软,双肺未闻及干湿啰音,心率齐,腹平软,无明显压痛及反跳痛,四肢肌力IV级,生理反射存在,病理反射未引出。 磁共振-头部平扫+增强+弥散:右侧顶叶占位,其内见囊变、坏死,实性部分DWI弥散受限,增强扫描不均匀强化,较大横截面约78×60mm;右侧脑室受压;中线结构左移约9mm。检查结论/诊断:右侧顶叶占位,伴中线左移,多考虑肿瘤性病变。 术中所见:取顶部弧形切口入路,游离骨瓣开颅,硬膜张力较高,骨窗四周悬吊硬膜后放射状剪开硬膜,探查硬膜下,可见顶叶巨大占位,病变呈灰红色鱼肉样,实性,和脑膜关系密切,侵犯脑实质,显微镜下沿相对仔细剥离肿瘤,镜下全切病变。
临床资料: 男性,14岁,右侧肢体无力、颅内占位 主诉:右上肢无力3周,加重伴右下肢无力1周。 体征:神清语明,计算力下降,双侧瞳孔等大等圆,直径约3.0mm,对光反射灵敏,右上肢肌力4级,右下肢肌力3级,肌张力正常,生理反射存在,右上肢指鼻不稳准,右下肢病理反射阳性,右下肢浅感觉减弱 ,余神经系统查体未见明显异常。 实验室检查:未见明显异常。 头颅MRI:双侧胼胝体体部及压部、相邻左侧侧脑室后角旁、左侧海马区及左侧丘脑见蝶翼状分布长T1长T2信号影,边界不清。增强扫描可见片状强化减低影。 术中所见:自顶叶皮层(避开脑表重要引流静脉)进入皮层,向下探查至皮层下约2.5厘米,即见肿瘤。可见肿瘤呈灰白色,质地软,无包膜,血供极其丰富,与周围脑组织边界不清。 显微镜下共切除肿瘤大小约3.5cmx3.0cmx2.5cm。
大体所见: 淡褐及褐色碎组织1堆,总体积3.2cm*1.5cm*1cm。
附 件: 展示3 吉大一院.docx
临床资料: 男性,23岁,发作性言语不能,右侧肢体麻木3月余 主诉:发作性言语不能,右侧肢体麻木3月余 体征:患者于3月前,打篮球后,出现头晕,伴言语不能,右侧肢体麻木,持续约数分钟后自行缓解,无意识障碍,无肢体抽搐,无头痛、恶心、呕 吐。当地医院查头颅MR提示左侧额、颞、岛叶异常信号,建议随访。随访期间,剧烈运动后会出现上述症状,并伴有轻微意识障碍,神经查体无阳性体征。 头颅MRI+增强:左侧额颞岛叶见斑片状T2W高信号、T1W低信号:FLAIR呈中央低信号、边缘高信号,DWI见边缘弥散受限,增强未见明显强化。 既往史:既往体健,无特殊。 术中所见:术中内镜下见颞叶表面水肿,沿水肿脑组织向深面分离,见肿瘤组织呈黄白色,质软,血供一般,沿肿瘤周围水肿带分离,止血,游离肿瘤后,将颞叶肿瘤切除,深面达侧脑室,予以人工脑膜及生物蛋白修补开放侧脑室。继续切除岛叶表面肿瘤,肿瘤镜下全切。
大体所见: 灰白色脑组织一块,大小6.8×5.5×2.5cm,切面灰白色,实性,质软,皮白质分界欠清。
临床资料: 女性,22岁,发作性意识不清3年 主诉:发作性意识不清3年 现病史:患者于3年前无明显诱因出现失神,当时呼之不应,患者发作后对发作时的情况印象模糊,后再次发作,发作时狂躁,乱扔东西,手足乱舞。无抽搐,口吐白沫等症状,于外院就诊服用奥卡西平片无明显改善,为进一步诊治来我院就诊。 MRI: 影像表现:双侧海马饱满并见稍长T1长T2信号影,右侧明显,压脂序列呈稍高信号,DWI呈稍高信号,其内见少许小圆形长T1长T2信号影,增强轻度强化。余脑实质内未见明显异常信号影;脑沟脑裂未见明显加深;脑室系统未见明显扩大;中线结构居中。 意见:双侧海马异常信号,右侧明显并轻度强化,不除外占位(低级别胶质瘤?)。 术中所见:术中见肿瘤位于海马旁回,色灰白,质地较稀软,血供一般;切除肿瘤及海马头体部,切除钩回及部分杏仁核,深部暴露环池。
大体所见: 灰白碎软组织一堆,大小共3cm×2 cm×1cm。
附 件: 展示5 南昌大学第一附属医院.docx
临床资料: 男性,12岁,右侧脑室占位 主诉:发热、头晕2月,肢体抽搐1月 病史: 第一次住院:患者于入院前2月无明显诱因出现发热、头晕不适,CT检查提示右侧脑室三角区出血,给予对症保守治疗,体温恢复正常,住院1周出院后再次出现发热,体温最高至39℃,行血二代宏基因测序回报EB病毒感染,复查头CT提示脑室出血有所吸收,对症治疗,1月前患者开始出现间断肢体抽搐发作,意识丧失,每次持续数分钟后自行缓解 一周发作4-5次,住院给予抗癫痫治疗,患者恢复缓慢,1周前出现意识下降,复查头CT提示右侧脑室三角区出血较前有所增多,脑室扩张,行脑室外引流术,脑血管造影回报未见明显异常,治疗后意识有所改善,精神差。自发病以来,患者嗜睡,进食少,二便少。 第二次住院:患者自上次出院后规律康复治疗,10个月前患者出现全身不自主抖动,持续数分钟后不缓解伴意识丧失。规律口服“丙酸镁”治疗, 神志逐步转清。半年前上述症状发作频繁,药物治疗未见明显好转。复查头颅MRI提示右顶枕-侧脑室异常信号局部强化,右侧脑室多发结节状强化,强化范围较前扩大。 术中所见: 第一次:进入脑室可见血肿及侧脑室三角区脉络丛,血肿包绕脉络丛,脉络丛组织颜色深染。清除侧脑室内血肿,切除脉络丛组织,标本送病理。 第二次:剪开硬膜并悬吊,可见脑组织张力不高,病变色灰白,边界不清,血运中等,质软,囊实性。清扫创面周边,肿瘤大部切除,标本送病理。
大体所见: 第一次:灰白灰红不整形组织数块,总体积4 cm×5cm×1cm,切面灰白灰红实性质软。 第二次:灰白灰红不整形组织数块,总体积5 cm×5 cm×4cm,切面灰白灰红实性质软。
附 件: 展示6 天津市环湖医院.docx
临床资料: 男性,59岁,鞍区占位 主诉:性功能减退半年,视物重影伴左侧上睑下垂半月余。 体征:左眼光反射消失,左侧眼睑下垂,左眼向上、向下、向内活动受限,左眼水平眼震颤。 实验室检查: 卵泡生成素 14.40 ↑ 1.5-12.4 IU/L 电化学发光法 垂体泌乳素 414.0 ↑ 86-324 mIU /L 电化学发光法 生长激素 7.64 ↑ 0.09-7.41 mIU/L 电化学发光法 促肾上腺皮质激素(晨7-9点)15.02 ↑ 1.58--14.1 pmol/L 化学发光法 头颅CT及MRI: 头颅CT:蝶鞍扩大,鞍底变薄。鞍内及鞍上可见团块状稍高密度肿块影,密度不均,边界欠清,病变与左侧海绵窦分界欠清。局部骨质吸收变薄,垂体柄居中,视交叉未受压。诊断:鞍区占位,垂体腺瘤可能。头颅MRI:蝶鞍扩大,鞍区见团块状等T1等T2信号影,DWI呈等信号,大小约15mm*13mm,鞍底下陷。垂体柄居中,垂体受压上移。增强后见鞍区异常信号轻度强化,垂体受压上抬,垂体形态欠规整,病变包绕左侧颈内动脉海绵窦段,垂体柄居中,视交叉未受压。诊断:鞍区占位,垂体瘤囊变可能,其他待排。 既往史:高血压及糖尿病病史3年。 术中所见:内镜下经右侧单鼻孔探查无异,行右侧鼻中隔粘膜瓣切开备用,磨除鞍底,电凝发达海绵间窦止血后切开,见质韧暗红色肿瘤疝出,术中予分块切除。
大体所见: 灰红色碎组织一堆,大小1.3×1×1cm。
附 件: 展示7 南京脑科医院.docx
临床资料: 女性,27岁,间断性头疼5月余 主诉:患者5月无明显诱因出现头部疼痛不适,伴有头晕、恶心,双眼视力下降、双下肢麻木,无四肢抽搐,无肢体无力,无嗅觉异常,无心慌、胸闷等不适,吃止疼药后缓解。半个月前无明显诱因再次头疼,持续五天,吃止疼药不缓解。患者于当地医院就诊,行颅脑MRI提示前颅底占位性病变,考虑脑膜瘤,为求进一步诊治来我院就诊,门诊以“脑膜瘤”收入院。入院后,患者一般情况稳定,饮食正常,嗜睡,每天睡眠时间12-15小时,入睡困难,小便正常,大便正常,体重无明显变化。 体征:体格检查正常;专科检查双眼视敏度减退,余正常。 头颅CT及MRI:CT图像提示有钙化;囊变或坏死。MR图像提示起源于前颅底,有脑膜尾征;有囊变和坏死成分。 术中所见:术中见肿瘤位于前颅底,质地韧,血运极丰富,与周边脑组织粘连紧密,内有坏死,基地骨质破坏严重。
大体所见: 灰白碎软组织一堆,总体积6 cm×6 cm×2cm,切面质韧。
附 件: 展示8 齐鲁医院.docx
临床资料: 男性,8岁,发现脑干占位10天 主诉:发现脑干占位10天 体征:10天前患者发笑时发现双侧面部肌肉不对称 实验室检查: MRI:左侧桥小脑角区、桥脑左份、左侧桥臂、左侧小脑半球前份可见团片状长T1长T2信号,黑水像上呈高信号,DWI高b值上部分呈稍高信号,邻近脑组织结构受压,第四脑室受压变窄,局部脑中线结构略右偏。增强扫描示:左侧桥小脑角区、桥脑左份、左侧桥臂、左侧小脑半球前份可见部分欠均匀强化,强化范围约为27mm×32mm×30mm(前后径×左右径×上下径),边界欠清。 既往史:身体健,无特殊。 术中所见:术中见左侧桥小脑角区小脑皮层明显肿胀,切开皮层即见肿瘤组织,可见其灰白色、鱼肉状,质地稍韧,血供稍丰富,与周围脑组织分界不清。
大体所见: 灰白灰红色碎软组织一堆,大小3cm×2 cm×0.3cm。
附 件: 展示9 郑州大学第一附属医院.docx
临床资料: 男性,54岁,脸变圆6年,垂体占位5月 主诉:脸变圆6年,垂体占位5月。 体征:患者步入病房,神清,查体合作,对答切题。向心性肥胖,满月脸,多血质貌,水牛背(+),锁骨上脂肪垫(+)。全身皮肤未见紫纹。左眼视力下降,对光反射消失,眼球上下运动不良。右眼视力下降,眼球运动正常。肌张力正常,肌力V级。双下肢轻度可凹性水肿。阴毛V期。余无特殊。 实验室检查: 2019-11: 血钾3.09mmol/L,Ca 2.14mmol/L,P 1.35mmol/L,FBG 17.7mmol/L;FT3 3.72pmol/L,FT4 9.30pmol/L;TSH 0.232uIU/ml;GH 0.017ng/ml,IGF1 116ng/ml;ACTH 91.9pg/ml,F(11am) 444ng/ml;性激素:PRL 4.2ng/ml,LH 5.73mIU/ml,FSH 27.10mIU/ml,T 0.77ng/ml。 2020-1:血F 34.5μg/dl,ACTH 47.5pg/ml,24hUFC 676.8μg/24hr(尿量1800ml);T 1.74ng/ml,PRL 7.5ng/ml;TSH 1.810μIU/ml,FT3 2.47pg/ml,FT4 1.31ng/dl,Tg 1.2ng/ml;IGF1 179ng/ml,GH 0.1ng/ml;肿瘤标记物:CEA 4.3ng/ml,CA242 7.2U/ml。 头颅CT及MRI: 2019-12增强MRI:蝶鞍增大,鞍底下陷,鞍区可见不规则块状异常信号,边界清楚,信号均匀,T1WI 呈等信号,T2WI 呈等信号,增强后病灶呈均匀强化,考虑垂体大腺瘤可能大,可疑左侧海绵窦受累。 2020-10增强MRI:枕大孔左侧、左侧小脑幕及顶部区散在结节状占位(最大直径1.4cm),考虑脑膜瘤可能;垂体瘤术后改变,术区见混杂信号。 既往史:2016年6月下肢水肿加重,肾上腺CT示双侧肾上腺占位,行右侧肾上腺腺瘤切除术,术后病理示皮质腺瘤。余无特殊。 术中所见:肿瘤组织呈暗红色、质地稀软、边界清。
大体所见: 肿瘤组织呈暗红色、质地稀软、边界清。
附 件: 展示10 北京协和医院.docx
临床资料: 女,50岁,右侧小脑半球占位 病史: 患者于20天前无明显诱因突然出现间断头晕,休息后缓解,伴双下肢麻木,无四肢无力、大汗、恶心、呕吐、头痛、咳嗽、咳痰等其他阳性体征,遂2023-04-06就诊于外院行头部增强核磁,提示右侧小脑半球占位,考虑脑膜瘤;患者自患病以来,精神状态良好,体力情况良好,食欲食量良好,睡眠情况良好,体重无明显变化,大便正常,小便正常。为进一步诊治来我院就医,在门诊拟诊断为颅内占位收入院。 影像学: 头颅 CT:头颅外形如常,右侧小脑半球及小脑蚓部见囊实性占位,边界清,大小约 3.7cm×2.6cm×2.7cm,实性成分 CT 值约 44HU,增强后明显强化,CT 值约 99HU,内见片状低密度坏死区,周围见片状低密度水肿带,肿块上缘与小脑幕相邻,第四脑室受压;余脑实质内未见异常密度影。脑室无扩张,脑沟未见增宽、加深;中线结构居中,颅骨骨质未见异常。 CTA+CTV:双侧颈内动脉及双侧大脑中动脉显影良好,走行自然,管腔未见明显狭窄。右侧大脑前动脉 A1 段较对侧纤细,双侧大脑前动脉走行自然,管腔通畅,未见明显局部狭窄;前交通动脉开放。左侧椎动脉优势,双侧椎动脉、基底动脉及双侧大脑后动脉显影良好,管腔未见明显局部狭窄。 上矢状窦远段分为三支,分别与左右横窦相连,考虑先天变异,余颅内静脉走行自然,管腔通畅,未见明显异常。 CTP:右侧小脑半球占位实性成分 DLY、TTP、MTT 延长,CBF、CBV 升高。 印象:1、右侧小脑半球及小脑蚓部占位。2、颅内动脉及静脉未见明显异常。3、右侧小脑半球占位呈高灌注改变。 手术所见:经后正中切口,显露枕骨并铣下骨瓣,显微镜下切开硬膜和蛛网膜,见右小脑半球肿胀,导航定位后电灼皮层切开,分离并整块全切除肿瘤(边界欠清、灰黄色、质硬、血供丰富),切除范围上至小脑幕、内侧达小脑纵裂,四脑室未开放。
大体所见: 脑组织一堆,大小3.5*3*1.8cm,切面灰白,质中。
附 件: 展示11 北京医院.docx
临床资料: 男性,25岁,松果体区占位 主诉:反复头痛2月余,伴呕吐1次,伴复视1月 头颅MRI:松果体区见一稍不规则椭圆形异常信号影,边界清楚,大小约2.6cm×2.0cm×2.3cm,其内尚均匀,呈长T1长T2信号,T2-FLAIR呈稍高信号,DWI呈低或稍低信号,其内可见线状等T1短T2信号分隔影,增强扫描未见明显强化,病灶向周围挤压双侧丘脑及第三脑室顶盖。考虑松果体区囊肿。 术中所见:肿瘤位于松果体区,四叠体上方,大小约2.2cm×2.1cm,质稍韧,血供一般,呈灰白色,与周围脑组织边界不清,无明显包膜。
大体所见: 灰白灰粉色碎组织一堆,总体积1.5x1.2x0.5cm。
附 件: 展示12 南部战区总医院.docx
暂无评论...