
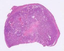
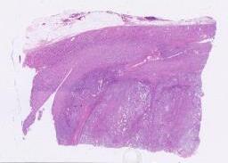
临床资料: 患者男性,52岁,已婚。因"发热7天"入院。既往高血压病病史10余年;慢性乙型病毒性肝炎病史数十年,未治疗。辅助检查:1.血常规(急诊)+CRP:白细胞计数:11.3*10^9/L↑;中性粒细胞百分率:82.0%↑;红细胞计数:3.83*10^12/L↓;血红蛋白:115g/L↓;血小板计数:416*10^9/L↑;超敏C反应蛋白:121.5mg/L2.消化道肿瘤标志物:糖类抗原19-9:121.5U/ml↑;甲胎蛋白:1.9ng/ml;癌胚抗原:0.8ng/ml3.乙肝DNA:乙肝病毒核酸定量:1.04E+04IU/ml↑;4.肝脏造影CS:右肝混合回声团,实质性占位可能,脓肿待排,请结合其他影像学检查;5.上腹部平扫+增强CT:肝右叶混杂密度团块,考虑肿瘤伴内部出血、液化坏死,大小约135x110mm,考虑MT可能,建议MRI增强检查,请结合临床肝右后叶结节,考虑血管瘤可能两肾囊肿;五、术中所见:腹腔镜下肝部分切除术:右肝呈红褐色淤肝样改变,术中腹腔镜探查见右肝一大小约15X11cm肿块,紧邻中肝静脉,余肝及胃胰腺脾脏盆腔未见明显病灶,肝十二指肠韧带可及肿大淋巴结。六、巨检:(肝癌切除标本)肝癌切除标本一个,大小22*21*10cm,紧邻肝被膜,距最近肝切缘0.4cm见一肿块,边界不清,大小22*17.5*9.5cm,切面灰白灰黄暗红,实性质中,局部囊性变,囊内含血性液体,局部坏死。
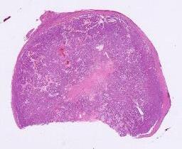
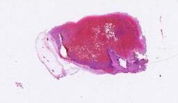
临床资料: 患者男性,66岁,体检发现肝占位3月,MR平扫+增强:肝右叶后上段见团块状T1WI低、T2WI+fs及DWI高低混杂信号影,边界较清,大小约58mm×66mm,动态增强扫描示动脉期病灶周边斑片状强化。术中所见,肿瘤质地硬,局部侵犯膈肌,切除部分与肿瘤相连的膈肌。巨检:(右肝肿瘤)肝组织一块,大小8.8*7.3*7cm,切面见一灰白肿物大小7*6.6*4.9cm,质韧界清,紧贴被膜,紧贴断端切缘,黏连少量膈肌组织。
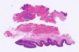
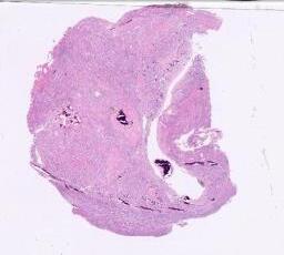
临床资料: 病史:患者男,70岁,1月前于当地医院体检,腹部超声提示肝左叶低回声团(大小约58*48mm,边界尚清晰),建议上级医院进一步治疗,偶感上腹部隐痛不适,CT平扫+增强:见肝脏S3段可见一枚类圆形稍低密度影,大小约51*44mm,边界清晰,增强动脉期、静脉期可见明显强化,平衡期强化有所减退,内见斑片状无强化影。肝门部可见稍大淋巴结显示,最大者直径约11mm,增强可见明显强化。影像诊断:肝脏S3段占位,恶性考虑,肝细胞肝癌首先考虑,建议增强MR检查。巨检:肝癌组织:部分肝组织,大小11*10*5cm,局部烧灼明显。切面见结节,大小5.0*4.5*3.5cm,棕褐色,实性,质中稍硬,界清,紧邻被膜及断端切缘,突出周围肝组织约3cm。余肝组织切面灰黄,实性,质中,未见明确结节。
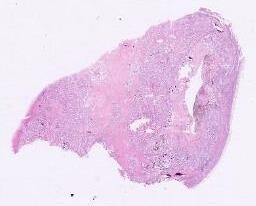
临床资料: 男24岁,腹部增强CT检查提示“左肝病变,考虑良性肿瘤性病变可能超声造影提示:富(多)血供病灶,炎性假瘤?不典型FNH?巨检:(肝脏肿瘤):部分肝组织,大小15x8.5x4.5cm,临近断端切缘可见一结节,大小2.3x2.5cm,质软,界尚清,余肝组织未见明显异常。
临床资料: 26岁女性患者,体检发现肝结节6月入院。显爱肝脏MR平扫+弥散+增强(3.0T):肝S7包膜下、肝S5见两枚类圆形稍短T1、长T2信号影,较大一枚DWI序列呈高信号,增强后动脉期明显强化,门脉期及移行期强化减退,中央可见条索状强化影,肝胆期呈稍低信号,较大一枚径约5.3*4.5cm;肝实质包膜下另见多枚一过性动脉期强化影。巨检:肝(S8a):灰红组织一块,大小0.4*0.4*0.3cm,(肝S8b)小片肝组织,大小0.9*0.8*0.5cm,切面未见明显占位性病变,(肝S6)部分肝脏切除标本,大小5.8*5.3*4.3cm,紧贴离断面可见一灰红色肿物,大小5.2*3.9*4.8cm。
临床资料: 50岁女性。尿频尿急1月,肉眼血尿半月入院。患者1月前无明显诱因下出现尿频尿急,无腰痛、肉眼血尿等不适,遂至当地医院,考虑尿路感染,予“左氧氟沙星片、利尿冲剂”(具体不详)对症处理,自诉症状好转。半月前出现肉眼血尿,呈浓茶样,为全程血尿,伴尿频尿急,无腰痛,无畏寒发热等不适。泌尿系超声:膀胱内不均质回声团,右肾小囊肿;泌尿系CTU:1、膀胱右侧壁肿块,平滑肌肌瘤考虑?2、肝脏多发小囊性灶,肝右叶海绵状血管瘤可能;右肾囊性灶,左肾小结石;3、子宫内数枚结节经尿道膀胱病损切除术:探查见膀胱右侧壁一直径约4cm,有蒂,肿块表面光滑,两侧输尿管开口清晰,喷尿清。
临床资料: 浙江省人民医院2024-76603患者男,74岁,腰背部疼痛2周。现病史:患者半月前不慎摔伤臀部着地,出现臀部及腰背部疼痛,当时无头晕头痛,无四肢麻木及乏力,外院查(2024-11-14)行腰椎骨盆CT提示:L3椎体压缩性骨折。腰椎及骨盆退行性骨关节病。附见:胸12椎体压缩性骨折。对症治疗后效果不佳,现为求进一步手术治疗,门诊拟“腰椎骨折”收治入院。患者目前精神尚可,体力正常,食欲正常,睡眠正常,体重无明显变化,大便正常,排尿正常。既往史:患者既往高血压病史,规律服用药物控制血压,自诉血压控制尚可。手术史:2021年行主动脉瓣生物瓣膜置换术;临时心脏起搏器置入术;2024年行右肾部分切除手术;2012年因右下肢骨折行内固定手术;2018年因阵发性室上性心动过速行射频消融术。超声:检查所见:左肾增大,轮廓大小182mm*104mm,右肾部分术后,剩余肾实质回声未见明显异常,左肾实质可见偏低回声团,切面大小约106mm*76mm*93mm,边界清,内回声不均匀,内可见点条状血流信号,右肾集合系统回声增强,内见强光斑,长径约5mm,后方伴弱声影。左肾集合系统分离约34mm,集合系统内见多个强光斑,较大的长径约14mm,后方伴声影。CDFI显示双肾点条状血流信号。左肾旁见一低回声团,切面大小约49mm*32mm,边界尚清,内部回声均匀,CDFI显示其内见点条状血流信号。左肾输尿管上段可见扩张,宽约13mm,右输尿管不扩张而未显示。膀胱未充盈。印象:左肾实质及左肾旁低回声团,肿瘤性病变待排,建议进一步检查,左肾多发结石,左肾积水,左侧输尿管上段扩张,右肾小结石。
临床资料: 温附二2025-14732患者,女,45岁,因“重度贫血”住院,入院后患者出现反热,体温波动于36-39C,排除禁忌症后于2025-03-25行骨髓穿刺活检,木后无骨髓瘤诊断依据。B超发现“左侧附件区混合回声团及爽性包块”,CT示“盆腔囊实性占位,东侧附件来源恶性肿瘤首先考虑”,进一出完善PET-CT提示:“盆腔囊实性占位伴FDG代谢增高,考虑左侧卵巢Ca;双侧髂血管旁散在增大淋巴结,FDG代谢增高,考虑转移;大网膜2枚增大结节,FDG代谢增高,转移考虑”。2025.4.2行超声引导下左侧腹部肿块穿刺活检术,术后病理考虑为促结缔组织增生性小圆细胞肿瘤。排除炎症性发热后,考虑癌性发热,全院疑难病例多学科讨论后,于2025.4.11全麻下行“经腹盆腔肿物切除+双侧输卵管切除+部分大网膜切除术+肠粘连松解+膀胱修补术”,术中见:无明显腹水,膀胱底部一大小约7*6cm肿块,沿左侧前腹壁腹膜生长,肿块上缘达脐耻之间,与大网膜紧密粘连,大网膜未及明显肿块,子宫前位,正常大小,表面光滑,双侧输卵管卵巢外观无殊,盆腔淋巴结未及明显肿大,小肠与结肠间见膜状粘连,肝胆胃肠阑尾腹膜等表面未及明显肿块,予行减瘤术,移去标本送病理。巨检:(盆腔肿块)灰白肿块一个7.2cm×6.5cm×3.3cm,表面与大网膜黏连,附少许网膜组织,网膜大小13cmX9cmx0.3cm,肿瘤切面囊实性,90%为实性,实性切面呈灰白灰黄鱼肉状。肿块表面见肿瘤累及,呈灰白乳头状。
大体所见: 丽水市中心医院202129005患者,男,52岁。因“黑便6天,呕血2天,加重半天”收住入院。术中所见:肿瘤位于胃底近贲门部,腔内及腔外生长,呈哑铃状,约5cmx7cm大小,质地硬。巨检:近端胃切除标本:胃大弯长13cm,胃小弯长11cm,紧贴上切缘,距下切缘4cm,胃底近贲门见一隆起型大肿块,大小7cmx5cmx2.5cm,切面灰白质中偏软,紧邻该肿物,浆膜面见一小肿块,大小4cmx4cmx2.5cm,灰白质中偏软。
临床资料: 金华市中心医院2024-78460患者男性,70岁。主诉“右侧腰腹部疼痛1周,发现左肾占位5年余“。患者1周前突发右侧腰腹部疼痛不适,无尿频尿急尿痛,无肉眼血尿,无畏寒发热。5年前发现左肾占位,未予治疗。肾脏增强MR提示:左侧肾脏上极占位,大小3.6*3.2cm,乏脂型血管平滑肌脂肪瘤可能,恶性不除外。右侧输尿管结石伴积水。巨检描述:肾脏部分切除标本1个,大小5*3.5*3.5cm,切面见1结节,大小3.3*2.7cm,切面灰红质软。
临床资料: 杭州师范大学附属医院(杭州市第二医院)24-16008病史:男,51岁,2月前体检时超声发现左肾一低回声团块,大小为3.58*2.8cm;体重2月来减轻2kg。CT:左肾低回声团,提示占位性病变,肾CA可能。大体检查:(腹腔镜下左肾部分切除术)灰黄灰红色组织1块,大小约2.5*2.5*2.0cm,局部表面有被膜。切面见肿物1枚,大小约2.5*2.4*1.8cm,切面灰白色,质软,边界尚清。
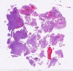
临床资料: 温州市中心医院202503545患者,女,70y,因“上腹痛1月余”入院。外院病理(HZ202518576):(胃窦)慢性中度浅表性胃炎;(胃体后壁》慢性中度浅表性胃炎;(贲门下)表浅腺体显示高级别异型增生,由于取材表浅破碎,不除外癌变。本院全腹CT示胃小弯见团块状低密度影,径约81mmx52mm,界清,增强扫描可见强化,肝胃间隙、门腔静脉间隙及腹膜后间隙多发淋巴结肿大。PET/CT1提示:贲门,胃体小弯侧壁增厚伴软组织团块,糖代谢异常增高,提示胃癌;大体检查:“胃癌根治标本”大弯长29.5cm,小弯长14.7cm,距上切缘1.2cm,下切缘12cm处贲门小弯侧见一肿块,大小8.4*7.0*6.7cm,切面灰白,质中,累及胃壁全层。余胃黏膜未见明显病变,贲门旁淋巴结6枚,直0.1-0.8cm。小弯淋巴结3枚,直径0.1-0.4cm,大弯淋巴结8枚,直径0.1-0.8cm,幽门下淋巴结2枚,直径0.4-0.6cm。大网膜22.5*10.3*5.0cm。
临床资料: 邵逸夫医院XSQ25-0100患者男性,21岁;因“发现肉眼血尿2周余”入院。现病史:患者2周余前无明显诱因下出现肉眼血尿,否认血块,无排尿疼痛,无腰胀腰痛,无畏寒发热,遂到我院泌尿外科门诊就诊。辅助检查:彩超:1.双肾多发结晶2.前列腺增大伴回声不均。膀胱镜:前列腺右侧叶可见肿物,表面光滑,肿物周围可见渗血。超声造影:右侧前列腺肿大伴回声不均,局部出血囊性变可。PSA:总PSA1.12游离PSA0.29,游离PSA/总PSA0.26
临床资料: 浙一2025022796,38岁男性,发现左肾占位3月余泌尿系血管与尿路成像CCTA+CTUD:肾脏肿瘤评估:左肾占位,首先考虑肾癌:RENAL评分:5;影像学TINOMx。<左肾肿瘤):部分肾切除标本,大小3.8*2.5*2.2cm,距离断面0.4cm切面见一灰黄结节,大小1.8*1.7*1.6cm,切面灰黄灰红质稍软,与周围界清,结节全取。
临床资料: 湖州市中心医院202403543患者,女,53岁。上腹痛2周,加重5天入院;现病史:2周前患者无明显诱因下出现腹痛,主要位于剑突下,程度不剧,呈阵发性隐痛,与进食及体位无关,无腰背部放射痛,无恶心呕吐,期间解墨绿色大便数次,成型,量不多,无明显腹胀,无,无乏力,无盗汗,无畏寒发热等不适。自行购买雷贝拉唑口服,症状稍减轻。5天前患者腹痛加重,左下腹为著,程度较重,今早呕吐1次呕吐物为内容物,无背部放射痛,无心慌胸闷,肛门排气存在,大便未解,自行购买枸橼酸铋钾、铝碳酸镁、阿莫西林口服3天,上述症状无好转,昨日至我院就诊,查肝胆胰脾超声、心电图未见异常,为求进一步治疗,门诊拟“腹痛待查”收住。患病以来,神志清楚,精神可,胃纳尚可,睡眠可,大便黄软,小便清长,近期体重无明显变化。巨检:小肠一段,长8cm,周径5-6cm,距近端切缘3.5cm见一隆起型肿块,最大径7.3cm,切面灰白灰红,质中,凸向肠腔内7.0cm。
临床资料: 瑞安市人民医院202503584患者男性,59岁。主诉:发现纵膈占位2年。现病史:患者2年前体检查胸部CT提示“纵膈占位。”,1月前复查胸部CT提示“相当于胸9椎左侧旁结节,神经源性肿瘤?较前片稍增大,请结合临床。”,现为治疗拟“纵膈占位”收住入院。既往史或其它摘要:有高血压病史。
临床资料: 浙江省人民医院S2025-15122患者女性,39岁,发现右肾占位1年检查:1年前外院体检行腹部CT提示:右肾占位伴肝内多发结节,右肾Ca伴肝转移可能,部分椎体及左侧髂骨骨质破坏,转移瘤考虑随后行PET-CT:1、右肾MT考虑;肝脏广泛转移;脊柱骨、左侧髂骨多发转移;2、双肺散在结节,其中右肺下叶较大一枚结节FDG代谢增高,不除外转移可能;3、左侧大腿上段肌间隙小结节伴FDG代谢增高,转移不除外。我院行肾脏造影(超声造影)检查提示:右肾内占位,提示:透明细胞Ca可能性大。行右肾肿块软组织肿块穿刺。
临床资料: 宁波大学附属人民医院2524639病史:患者男性,29岁(生日1995年9月8日),发现左肾4年余。4年前CT发现左肾下极钙化肿物,具体不详,2025年5.月31号CT示:左肾下极25mmX21mm稍低密度结节,边缘钙化,边界不清。行左肾部分切除术。巨检:灰红组织一块3.3*2.8*2cm,切面灰黄,部分囊性,病灶大小约2*2*1.5cm。
临床资料: 绍兴市妇幼保健院202502675患者,女,69岁。主诉:下腹隐痛1月余。现病史:平时月经不规则,周期90天,经期7天,经量中,无明显经期腹痛。48岁自然绝经,经过顺利。1月余前患者无明显诱因下感左下腹隐痛,呈阵发性期间患者感左下腹疼痛逐渐加剧,无腹胀,无阴道流血,无胸闷气促,无恶心呕吐,无肛门坠胀感等不适,当地医院B超检查示:宫腔内不均偏强回声,内膜息肉伴囊性病变可能,左附件区混合回声,输卵管增粗伴积液形成可能,建议进一步检查。遂来院要求进一步诊治,门诊拟“盆腔肿块”收住入院。妇科检查:左侧附件可触及大小约7*6*5cm肿物,边界清,活动可,附件无压痛余无殊。辅助检查:MR盆腔平扫+增强:宫腔内异常信号灶,考虑内膜息肉可能,建议诊刮明确。左附件区囊性肿物,考虑输卵管积液或输卵管卵巢囊肿,输卵管占位性病变不除外。绝经后子宫。术中所见:子宫肌层无殊,宫腔内见1*1cm息肉样赘生物,左输卵管呈节段形两端呈囊性,壁中等厚度,内壁光滑,内见淡褐色液体,中间为质硬白色肿块左卵巢萎缩,表面未见赘生物,右输卵管外观无殊,伞端结构存在,右卵巢萎缩表面未见赘生物,大网膜局部增厚粘连,腹膜表面粟粒样结节若干。大体所见::全切子宫+双附件切除标本,大小7*4*3cm,肌层厚1.5cm,肌层切面无殊,宫腔深4cm,宫腔内见一息肉状物,大小1.2*1.2cm,灰白质中,宫颈大小3*2.5cm,颈管无殊,外口光。左卵巢大小2*1.2*1cm,切面无殊,左输卵管区见一囊实性肿物,已剖开,内容物已消失,大小6*5*3.5cm,实性区厚0.5-1.2cm,实性区灰白质略硬。右卵巢大小1.5*1*lcm,切面无殊,右输卵长8cm,直径0.6cm,伞清,切面无殊,左侧宫腔内口浆膜侧见一灰白赘生物,大小0.5*0.4*0.2cm,质软。
临床资料: 衢州市病理诊断中心2501542病史:女,年龄17岁,尿频、尿痛半个月,CT提示膀胱肿瘤。巨检:膀胱肿瘤,灰红暗红组织一堆,大小8.0*8.0*4.0cm,切面灰红质中,易碎,不规则。
临床资料: 丽水市中心医院202437627患者,男,72、岁。因发现“左肾上极肿块”收住入院,3个月前因结肠腺癌在邵逸夫医院住院手术切除,同时有10年高血压病史,最高170/90mmHg,以及患有2型糖尿病。巨检:左肾肿瘤:肿物一个,大小1.5cmx1cmx0.8cm,切面灰褐质中,表面似有包膜,局部缺损,已被临床剖开,局部似见肾组织,大小1cmx0.5cmx0.3cm。
临床资料: 宁波市临床病理诊断中心GR2025-06971病史:患者女性,54岁,因体检发现肝肿物1周入院患者1周前体检发现肝右叶占位,MRI:肝右后叶上段见类圆形稍长T1、长T2信号影,肝癌可能。现入院行腹腔镜下肝癌切除术。大体:(肝肿物)肝组织块,大小7*6*4cm,距肝被膜0.7cm切面见一灰白肿块,大小2*2*2cm。
临床资料: 东阳市人民医院25-24715女性,54岁;主诉:发现“胃息肉”1月余。现病史:患者1月余前至我院查门诊无痛结肠镜检查。胃镜:慢性浅表-萎缩性胃炎,胃体区可见一处半球状息肉样隆起,大小约1cm。门诊拟“胃息肉”收住入院。入院后行胃息肉EMR手术,摘除息肉送检病理。既往史:平时健康状况:患者过去体质良好。疾病史:否认高血压:否认糖尿病、否认心脏病、否认肝病史、否认肾病史巨检所见:胃息肉一枚,大小约0.8*0.7*0.5cm,切面灰红,质中。
临床资料: 温医大眼视光H2024-0006患者男性,68岁,主诉:左眼下脸肿物生长5年。术中所见:肿物表面皮肤菲薄,切开后见大量粉色胶冻状物质,无明显包膜,未明显累及脸板,肿物周围可及结缔组织,质韧。
临床资料: 湖州市第一医院2024-49703病史:患者,男,71岁,尿频尿急、排尿不畅半年,无尿痛,无血尿,无血凝块,无脓尿,无发热畏寒,恶心呕吐等不适,尿频尿急排尿不畅进行性加重,1天前出现小便不能自解。辅助检查:超声肾输尿管膀胱前列腺残余尿检查结果:右肾轻度积水伴右输尿管上段扩张前列腺增生伴钙化尿潴留;巨检:前列腺组织:灰白色组织3块,大小约1.5cm*1.0cm*0.5cm,全取。后送:前列腺组织:灰白灰褐色组织一堆大小7.5cm*7.5cm*2.5cm。
临床资料: 省妇保24-83865患者女,39岁,GOP0。因"发现盆腔包块逐渐增大3年,经期长2个月"入院。MRI示:宫颈左后方见一枚类圆形肿块,大小7.4cmx6.9cmx6.6cm,边界可见,局部与宫颈后唇分界欠清,DWI高信号,增强后不均明显强化。术中见肿块部分界限不清,剔除过程中肿瘤局部质脆烂,肿瘤基底部穿透宫颈后唇,和阴道相通。患者第一次接受了腹腔镜下宫颈肿瘤剔除术,术后病理提示高级别肉瘤。患者最终接受了腹腔镜下全子宫切除术+双侧输卵管卵巢切除术。巨检:破碎肌性组织,总体积14cmx12cmx3cm一堆,切面灰白结节状,质韧,部分呈橡皮样,局部半透明伴黏滑感,条纹不明显。
临床资料: 杭州市第一人民医院22-01678患者男,40岁,因进行性排尿困难及下腹胀痛1年余入院。临床实验室检查:血清PSA0.5μg/L。影像学检查:MRI提示前列腺中上部界限不清肿块伴内部出血、坏死,两侧精囊腺、膀胱后壁及周围脂肪间隙、静脉丛受侵可能大,左侧髂血管周围多发淋巴结转移考虑。行临床行膀胱+前列腺切除术。大体检查:前列腺组织内见一灰黄色肿块,大小3×3×2cm,质地柔软,边界不清,可见坏死,部分侵犯膀胱壁。
临床资料: 萧山人民医院2025-17528患者女性,74岁,肛门瘙痒2年。现病史:患者2年前无明显诱因下出现肛门瘙痒,伴排便困难,约3-4天解一次,质硬,无便血,无畏冷发热,无腹痛腹胀,无咳嗽、咳痰,无午后低热、盗汗、消瘦、纳差等,至当地医院就诊,诊断肛管肿物,于2023-11-06行内镜下肛管肿物切除术,术后病理提示绒毛状-管状腺瘤伴高级别上皮内瘤变,术后患者仍有肛门瘙痒,间断发作,仍伴排便困难,遂于2周前行肠镜检查,示肛管黏膜病变,肠镜病理提示符合湿疹样癌(Paget病),现为求进一步诊治,来我科就诊,门诊查体后拟“肛管肿物”收治入院。我院肛检:肛缘尚平整。肛门指诊:肛管前侧可及一肿块,约1*1cm大小,质地偏软,活动度可余未及肿物,指套退出无血染;镜检:肛管可见一肿物,约1*1cm大小,表面光滑。腹股沟浅表淋巴结未及明显肿大。患者病来,神志清,精神可,食纳睡眠可,大便如上述,小便无殊,近期体重无明显增减。既往体健。2007年行肠镜下肛管息肉切除术,2014年胆囊切除手术史,2年前肛管手术史如上述,否认其他外伤、手术史。入院后患者在全麻下进行肛管肿瘤扩大切除+肛周皮瓣转移术。术中所见及简要手术经过:术中见截石位1点、10点肛周皮肤呈湿疹样病变,截石位1点肛管黏膜质地偏硬,可见手术瘢痕样改变,局部隆起改变。予距离湿疹样皮肤约3cm切除肛周皮肤及截石位1点肛管皮肤黏膜组织。仅余截石位4-5点肛周少量正常皮肤黏膜组织,标本送术中冰冻:(肛周扩大切除标本)4点方向切缘阳性,其余小灶可疑。考虑肛管皮肤缺损严重,考虑二期行肛周皮肤扩大切除。送检1、(肛管肿物)皮肤(粘膜)组织一块。3.8cm*2cm*0.5cm,表面未见明显肿块,2cm*1.5cm*0.2cm。2、(肛周扩大切除标本)皮肤组织一块总长9.5cm,宽0.5-1.0cm,切缘全取。
临床资料: 迪安诊断HZ2023056557男,58岁。患者于2023年3月发现血尿20余天,去医院就诊,发现膀胱占位性病变,膀胱镜检行尿道膀胱肿瘤电切除术。大体取材巨检:灰褐组织一堆,大小1×1×0.5cm,全取。
临床资料: 邵逸夫医院2023-06398主诉:男性,35岁,因“发现左侧睾丸肿物2年,加重1周”入院。现病史:患者2年前余前发现发现左侧睾丸肿物,无疼痛,无尿频尿急等不适,近1周觉肿物增大,至我院就诊辅助检查:彩超:左侧睾丸内囊实性包块,首先考虑占位性病变,请结合临床盆腔MR:左侧睾丸占位,生殖细胞肿瘤首先考虑,请结合临床及相关检查
临床资料: 邵逸夫医院25-20659主诉:患者,女,62岁,因“阴道不规则出血2+月”收住院。现病史:近1月来患者在无明显诱因下出现头晕、乏力,就诊当地医院检查,外院CT提示子宫术后改变。腹盆腔巨大占位,腹部皮下小结节,考虑占位。2025-06-03我院B超:脐下腹腔内占位”为求手术治疗,门诊拟“盆腔包块”收住入院。既往史:患者54岁绝经,15年前体检发现子宫肌瘤(约3.0cm),后一直遵医嘱定期随访,肌瘤逐渐长大,于2023-8-21在全麻下行经腹全子宫切除术+双侧输卵管卵巢切除术。辅助检查:CT:腹盆腔软组织肿块,侵犯腹前壁伴其旁皮下多枚小卫星灶,结合病史,转移首先考虑,建议MR进一步检查;PET-CT:子宫及双附件术后改变;腹盆腔肿块,侵犯腹前壁并其旁皮下多枚小卫星灶,FDG代谢明显增高,结合病史,转移首先考虑。纵隔8区增大淋巴结伴FDG代谢增高,转移待排,建议密切追观;MR:子宫及两侧附件术后改变,下腹盆腔异常信号肿块,侵犯前腹壁伴其旁皮下多枚小卫星灶,结合病史,转移考虑.
临床资料: 恩泽医院325-10754C、325-10803D患者,女性,37岁,腹胀6月。胃镜检查:胃底、胃体粘膜充血水肿,见多发片状粘膜发红粗糙,胃窦粘膜充血水肿,片状糜烂数处,小弯侧见一片浅溃疡,十二指肠球部及降部粘膜见散在片状充血发红,局部表面略凹陷,予多点活检。肠镜检查:回肠末端10余cm见数处粘膜发红,局部浅溃疡形成,全结肠散在片状粘膜发红,局部表面略凹陷,予多点活检。325-10754C为胃体底活检标本,325-10803D横结肠活检标本。
临床资料: 温附一D25-24972患者,女,57岁,患者2年前于当地医院体检时,发现左肾有一肿块,来我院复查CT、磁共振,发现“左肾上腺区见混杂团块影,大小约57x45mm,与局部膈肌分界不清,局部脾脏受压改变",无腰痛发热,无肉眼血尿,无尿频尿急、尿痛,无腹痛腹泻,无双下肢浮肿。术中所见:左膈下腹膜后见实质性肿物,直径约5.5cm,局部与膈肌及腹膜粘连。大体所见:灰白灰红结节一个,大小6*6.5*4cm,切面灰白灰红,似有包膜,包膜厚0.2cm。
临床资料: 温附一:D25-07959患者,男,49岁,1月前无明显诱因下出现中下腹胀痛,呈阵发性,不剧,无向他处放射,伴排便困难,至今未排便,无腹泻,无恶性呕吐,无发热畏寒,无胸闷胸痛心悸,无呼吸困难,无吞咽困难,遂至当地医院就诊,给予泻药治疗(具体药物不详),自觉腹痛腹胀稍有缓解。1周前,患者上述症状较前加重,伴肛门停止排气排便,进食后不适明显,有恶性无呕吐,伴腰背部酸胀,遂至我院就诊,查全腹部增强CT“中下腹腔囊实性占位,恶性肿瘤首先考虑,肠系膜来源可能,建议进一步检查;腹腔多发淋巴结显示,部分轻肿;腹腔少量积液;前列腺少许钙化灶”,现为求进一步治疗,来我院就诊,拟“腹腔肿瘤”收住入院。术中所见:腹腔内少量腹水,腹壁、小肠和结肠肠壁及其肠系膜上可见多发转移结节,大小约0.3cm至2cm不等,病灶位于腹膜后乙状结肠系膜内,侵犯乙状结肠,并向右侵犯回盲部,向下侵犯盆腔壁和膀胱,并压迫右侧输尿管。肿瘤大小约20cm*30cm,呈分房状,其囊壁与周围组织边界不清,其中一房内含大量黄色囊液,另一房肿瘤内含大量鱼肉胶冻状坏死组织。大体所见:“腹腔肿瘤+部分小肠+部分结肠+部分膀胱”切除标本一个,小肠长约12cm,粗约3cm,结肠长约12cm,粗约4cm,交界处见一灰白灰红肿块,大小约16cm*13cm,灶区分房呈囊性,切面灰白灰红,鱼肉状,另加游离带阑尾回盲部一段,长约4cm,粗约2.5cm,阑尾长约4cm,粗约0.6cm,疑似肿瘤累及,另见游离肠管一段,伴肿瘤累及浆膜,长约6cm,粗约3cm,附带膀胱黏膜大小约3.5*2.5*0.5cm。
临床资料: 嘉兴市一24-43097男42岁5天前患者当地医院体检发现结肠肿物,遂至24-43097我院就诊,行内镜下ESD手术,术中发现切除困难,遂急诊行腹腔镜结肠肿物切除+腹腔镜结肠修补术。巨检:(结肠肿物切除标本)组织2块,共2.5*1.5*1cm。切面:见一肿块,直径1cm,灰白色,质中。余组织灰红色,质软。免疫组化(24-43097-2):CD34(+),ERG(),CD117(+,少量),DOG1(-),STAT-6(-),Catenin-B(-),SMA(-),Desmin(-)S-100(-),S0X-10(-),EMA(-),CK(-),Ki67(+,约1%)TRK(-)。Calponin(-),Vimentin(+),ALK(-),PDGFR-a(+),MDM2(-),CDK4(-)
临床资料: 长兴医院25-18650患者女性,75岁,因“发现胰腺体部占位性病变3月余”入院。现病史:患者3月前体检发现胰腺体部占位性病变,近期复查较前有增大,无腹痛腹泻呕吐等不适,查体无殊。辅助检查:上腹部平扫+增强(CT):胰腺体部及尾部低密度灶IPMN可能,囊腺瘤?