
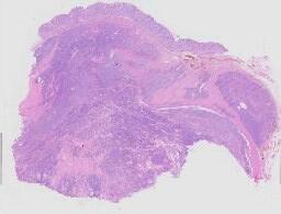
临床资料: 患者女性,71岁,发现甲状腺结节10+天。患者无意间发现甲状腺结节,结节无痛,初期无呼吸困难,表面皮肤无红肿,无食欲亢进、消瘦、手抖、饮水呛咳等不适,无怕热多汗及性情改变,无发热、寒战、心慌不适。患者至武胜县中医院就诊,甲状腺彩超提示甲状腺左叶4c类结节,大小约22*27*33mm,左颈IV见淋巴结增大,结构显示不清。
大体所见: 灰白结节一个,大小4cm×3cm×3cm,表面附着少许甲状腺,切面灰白、实性、质中偏韧,见坏死。
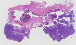
临床资料: 患者,女性,59岁,部位:左侧臀部浅表肿物。临床:左侧臀部结节半年,伴轻度压痛;术中见:左侧臀部褐色结节,边界清楚,质韧。既往史:宫颈恶性肿瘤,具体不详。
大体所见: 带梭形皮瓣的组织一块,大小1.4cm×0.7cm×0.6cm。切面灰白、实性、质中。
临床资料: 女,83岁,入院前1+年,因中上腹隐痛于外院胃镜检查提示:胃肿瘤,治疗好转后出院。10+天前患者因贫血于外院行胃镜提示:胃GIST,性质?经输血治疗后好转出院。现为手术治疗,以“胃间质瘤”收治入院。CT平扫+增强:胃幽门部胃壁不均质性并见团块状软组织密度影,较大横截面积约5.8cm×4.5cm,边界不清,其内见条状钙化灶,增强扫描后病灶明显不均匀强化,其内可见无强化坏死区。考虑肿瘤性病变。
大体所见: 带部分大网膜切除部分胃一个,紧邻幽门管浆膜下可见一灰白肿物,小大5.5cm×4.5cm×4cm,表面被膜光滑完整,切面灰红灰白,实性,质中,侵及黏膜下层。
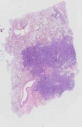
临床资料: 女,23岁,腹痛入院,彩超提示右侧附件区不均质回声。
大体所见: (右侧卵巢囊肿):灰红碎组织一堆,大小共约11×10×2.5cm,内有囊壁样组织及血凝块,囊壁较光滑,部分实性组织切面灰白、质中。
临床资料: 男,78岁,腹部CT提示肝占位,行穿刺活检。
大体所见: 细线组织一堆,约1×0.5×0.1cm。
临床资料: 女,82岁,肿块位于腔内。(直肠)
大体所见: 灰白灰褐包块一个,7.5×7×6cm,切面灰白实性质嫩。
临床资料: 女,78岁,入院4+月前,无明显诱因出现上腹疼痛不适。近期咳嗽咳痰不适,到院就诊。胸部CT:扫及肝左叶外段片状稍等稍低密度影,边界不清,建议增强。右侧心膈区软组织密度结节,考虑淋巴结?膈肌反折?肺气肿。两肺多个实性结节,考虑炎性?肝胆外科“肝占位病变”收治入院。术中所见:左上腹腔严重粘连,腹腔少量腹水,腹膜左上侧可扪及一质硬包块,大小约5.0×5.0×2.0cm,呈浸润性生长,呈分叶状,包膜不完整,质韧,切面呈灰白色伴局部出血,向右侵及左肝外叶,向上与膈肌粘连,左下与胃小弯粘连,前与腹壁粘连,探查肝脏其余部位、腹膜、盆腔未见转移灶,未见肿大淋巴结。既往史:2020年胆囊切除术。
大体所见: “腹膜肿物”:带少许脂肪的灰白组织一块,大小8×5×2cm,切面灰白灰黄,实性质中。
临床资料: 女,70岁。入院前1+月,肺部CT:1.双肺散在实性结节,部分结节考虑炎性,部分结节性质待定。2.左肺下叶前内基底段较大实性结节,考虑肿瘤可能性大,请结合增强扫描。既往史:1年前于新桥医院行直肠癌根治术,(直肠肿物及吻合环)高分化腺癌,癌组织浸润至浅肌层。
大体所见: 切除之(左下叶)肺组织,大小13×7.5×3.2cm,表面灰白灰褐色,尚光滑。吻合钉长6cm,支气管断端长2cm,断端直径0.6-0.8cm,支气管旁扪及淋巴结1枚;距支气管断端约3cm,紧邻肺膜下见一肿物,临床已剖开,大小1.7×1.7×0.9cm,边界尚清,未见包膜,对应肺膜皱缩,切面灰白、灰褐,质中;余肺实质切面灰红灰褐,质软。
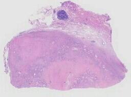
临床资料: 患者,男,79岁,发现右侧腘窝包块3+年,疼痛伴活动受限1+月。专科检查:右侧关节无明显畸形,腘窝外侧见包块隆起,大小约6×5×4cm,质中,周围轻压痛,无波动感,右下肢无麻木。MR示:腘窝内团块状长T1、T2信号,边界较清,大小约41.7mm×32.8mm×41.3mm,邻近肌间筋膜PD信号稍增高。考虑右膝腘窝囊肿可能性大。
大体所见: 灰白灰红色不整形组织一堆,大小约7cm×6cm×2cm,部分区域切面灰白、灰红、质软。
临床资料: 女,53岁,右侧胸壁结节1+年。1+年前无明显诱因咯血。胸部CT:右侧胸壁(约平第2-3前肋间水平层面)见结节状软组织密度影,大小约2.4×2.6cm,边界清楚,邻近骨质未见明显异常,增强扫描呈轻不均匀强化。
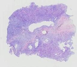
临床资料: 女,47岁。头晕头痛6月余,视物双影、行走不稳2月余。头颅MRI提示:左侧小脑幕下方见一团块状囊实性异常信号影,大小约3.8cm×4.6cm×4.2cm。左侧小脑幕下方占位,考虑肿瘤性病变。