
临床资料: 患者,女,54岁,无诱因背痛一周;2022.7胸部增强CT检查显示:右肺上叶分叶状肿物5.4X3.7cm,轻度强化,提示恶性;邻近胸膜增厚,双侧锁骨区及纵隔内淋巴结显示,右胸腔积液,部分肋骨斑片状密度增高影。2022.8右肺上叶切除,术中见右肺上叶肿物与胸膜顶大面积粘连,侵犯胸壁。
大体所见: 右肺上叶切除标本16x11x4.8cm,肺周边见一灰白结节6x5.2x3.7cm,隆起于胸膜表面,送检时胸膜已破损。
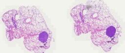
临床资料: 病史:患者于7年前发现胸腔积液,在外院检查发现膈上肿瘤和肺肿物,行保守治疗并定期复查。近一年频发早上起床后恶心,食油腻食物后恶心。于2天前右腹钝痛持续一天,便秘一周3次,小便正常。精神状况一般,睡眠差。既往史:否认肝炎结核病史,否认高血压,冠心病,糖尿病病史.影像学:肺CT:右肺下叶胸膜下可见不规则形结节影,较大者内可见钙化影,范围约1.1*0.8cm,CT值约70HU。右肺(薄层91、114)可见小结节影,长径分别约0.8cm、1.0cm。双肺可见实性微小结节.双侧肺门不大,纵隔居中,其内未见肿大淋巴结。双侧胸膜局限性增厚,右侧胸腔可见积液。肝右叶可见较大团块影。肝胆脾CT:肝脏形态大小正常,表面光滑,各叶比例正常,肝右叶可见稍低密度团块影,大小约3.9×3.6cm,其内可见致密影,邻近肝实质呈受压改变,局部边界欠清,平扫CT值约40-64HU,增强后可见明显不均匀强化,实质期CT值约58-129HU。肝内外胆管未见明显扩张,胆囊不大,胆囊壁不厚。胰腺形态密度未见异常,脾不大,密度均匀。双肾及肾上腺未见明确异常密度影。腹膜后未见确切肿大淋巴结影。术中所见:探查肿物位于右侧膈肌,约4.5cm*5cm,质地硬,与肝脏有粘连;另外近腔静脉裂口方向膈肌膈面可触及3-4个质硬白色结节,一并切除。探查右侧胸壁可见多枚转移结节,白色,质硬,大小约0.5cm-1.5cm,将胸壁结节切除,右侧肺脏表面亦可触及多枚大小不等转移结节,白色,质硬,大小约0.5cm-2.0cm,行右侧肺下叶和中叶部分切除.
大体所见: 膈肌肿物:肿物大小约7.5*7*3厘米,可见部分包膜,切面灰白灰黄,质韧,局部质硬.肺部肿物:切除肺组织大小约7.5*5*1厘米,局部可见范围约3.5*1.5厘米灰白质韧区域;另见大小约0.4*0.4*0.1厘米-1.5*1*0.7厘米厘灰白质韧结节多个.胸壁结节:组织大小约5*2.5*1厘米,切面灰白质韧.显微镜检查:膈肌肿物数字切片一张
临床资料: 基本信息:患者,女,7岁3月。主诉:咳嗽伴间断发热14天。既往史:不体健,3-4次肺炎病史,门诊输液治疗后“痊愈”。辅助检查:肺部MRI:右肺下叶见团块状混杂信号影,TIWI为稍高信号,T2压脂为稍高信号,DWI呈稍高信号,ADC呈稍低信号,大小约为31.5mmx43.6mmx42mm,边界不清,与周围肺实质分界欠清,肿物部分沿右肺下叶支气管铸形生长,管腔闭塞。
大体所见: 送检右中、下肺叶;中叶大小10*6*2.5cm,切面灰红,实性、质软。下叶大小8.5*6*3.5cm,紧邻支气管断端管腔内见一肿物,2.5*1.5*1cm,切面灰黄,实性,质略脆。沿支气管剖开,可见大量粘液,支气管旁检出可疑淋巴结两枚,直径0.5-0.7cm。
临床资料: 患者女性,46岁。因检查发现“左肺下叶结节半年”入院。患者半年前因甲状腺结节入院,完善检查后发现右肺上叶、左肺下叶结节。半年前先后行甲状腺结节切除术,右肺上叶肿物切除术。术后病理:甲状腺乳头状癌;右肺上叶非黏液型原位腺癌。肺CT:双肺可见多发磨玻璃结节影,右肺较大者位于上叶,大小约2.6cm*1.7cm,左肺较大者位于下叶,大小约0.9cm*1.3cm,双侧病变内局灶密度增高。
大体所见: 左肺下叶楔形切除标本,体积约11*6*2.5cm,距离被膜1cm处见一直径约1.0cm灰红色结节,界限不清;距结节4cm近切缘处见一直径约0.2cm灰黑色结节,界限清楚。D192714B1为1厘米结节D192714B4为0.2厘米结节
临床资料: 病史:男性,57岁,乙肝30年。2021年8月乏力体虚1周于当地医院检查提示肝左叶内侧段肝癌,术后病理示肝4段肝细胞性肝癌2级;2024年复查,外院CT提示肝右内叶新增占位,同时发现右肺上叶实性结节26X23mm,AFP升高(24.82),手术切除肝脏占位,病理结果示肝6段肝癌2级;2025年3月复查肺部占位,CT示结节增大至37X32mm,遂手术治疗。
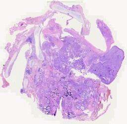
临床资料: 患者女65岁,呼吸困难,外院诊断胸腔积液,行胸腔闭式引流并给抗炎溶栓对症治疗未见好转。现形成包裹性积液,胸膜黏连,为求进一步治疗来我院。术中探查见胸腔黏连,包裹胸水,胸膜广泛增厚,前上胸壁胸膜肿物明显,术中取部分肿物送病理。