
临床资料: 患者女,40岁,主诉:腹部包块5天。病史:患者5天前无意间发现腹部包块,伴轻度腹胀,行腹部超声提示肝囊肿,为行肝囊肿治疗入院。既往史:平素身体健康,否认高血压史、糖尿病史、冠心病史、输血史、手术外伤史、否认肝炎、结核等传染病史。否认药物、食物过敏史。实验室检测:肿瘤四项血清中甲胎蛋白、癌胚抗原、CA125、CA19-9含量均在正常范围。核磁及CT考虑感染性病变可能性大。
临床资料: 女,14岁,主因“发现盆腔包块13天”入院。冰冻送检:左卵巢肿物:灰白灰红碎组织一堆,大小27cm×19.5cm×6.5cm,切面灰白灰黄灰红,实性质软。既往“社区获得性肺炎、急性上呼吸道感染”于外院住院治疗,现恢复可,3天前复查血常规未见明显异常。否认传染病或慢性病史,否认药物或食物过敏史,否认其它手术史及外伤史,否认输血及输血制品史,预防接种史不详。盆腔可扪及一巨大肿物,大小约20×18cm,囊实性,轮廓清,活动受限,无压痛。2025-05-17外院肿瘤标志物:CA125115U/mL,余未见明显异常2025-05-22我院甲胎蛋白10.7ng/m,CA125133.0U/mL,CA153、CA199等肿瘤标志物未见异常。2025-05-21我院彩超:盆腔内可见大小约170×141×116mm的的肿块图像,形状呈椭圆形,内部为类实质样低回声,分布不均质,其内可见散在无回声区及多条短线状强回声,边界清楚,性质待定,考虑畸胎瘤可能,囊腺瘤不除外;盆腔内可见深约25mm液性暗区,考虑盆腔积液。
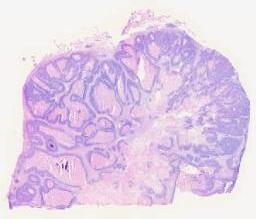
临床资料: 女39岁,九个月前自行触及肿块,无乳房疼痛、乳头溢液、瘙痒、皮肤红肿、发热、乏力等,乳腺超声示:右侧结节位于2-3点方向,大小约3.2*3.2*1.9cm,周边可见血流信号。BI-RADS4b类。家族史:母亲乳腺癌
临床资料: 女,43岁,胃癌术后5年,发现盆腔包块1年余。患者5+年前因“胃癌”行胃大部分切除术+术后规范化疗8次。术后每年定期体检。1年余前阴道彩超提示盆腔包块,大小约4*3cm,未重视未就诊。后完善盆腔MRI检查提示:右侧卵巢囊性病变,考虑:炎性包块可能,伴出血,输卵管积水,上皮来源肿瘤及转移瘤待排。辅助检查:盆腔MRI示:1.右侧卵巢囊性病变,考虑:炎性包块可能,伴出血,输卵管积水,上皮来源肿瘤及转移瘤待排,请结合临床。2.左侧附件及子宫颈多发囊性灶。经腹部+阴道联合扫查:子宫呈前位,切面大小、形态正常,包膜光滑,肌壁回声均匀;宫腔线居中,内膜厚约15.6mm,回声不均匀。右侧附件区可见一囊实混合性包块,大小约71×52mm,边界尚清,形态不规则,CDFI:包块周边可见少许点状血流信号。左侧附件区未见明显包块回声。子宫直肠窝未见明显游离无回声区。
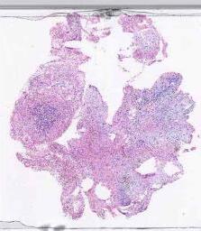
临床资料: 男,66岁,主诉:水肿、颈部淋巴结肿大,同期发现房颤。现病史:2020-05出现心悸伴颜面部、颈部、四肢水肿,尿量减少(约500ml/d),咳嗽、喘憋、活动耐量明显下降。外院完善ECG:“房颤”,颈部超声:双侧颈部淋巴结肿大。2020-06我院查:血常规:(-),肝肾功:LD365U/L,余(-);心肌酶(-);NT-proBNP1465pg/ml;感染:HBcAb(+),HBsAb(+);ECHO:LVEF69%,左房增大,心包少量积液。PET-CT示:1.左侧颈部(IV区、V区)、左侧锁骨上下、右肺门及后纵隔、腹膜后、肠系膜上多发代谢增高淋巴结(大小约0.5-1.6cm,SUVamx13.2),右心房、右心室及双侧心耳见多发代谢增高结节和肿物(大小约2.0×2.3-5.8×7.6cm,SUVamx24.6)、第2/3组小肠壁明显增厚且代谢增高异常(SUVamx17.1)。取左颈根部淋巴结送检。
大体所见: 淋巴结样组织数枚,直径0.5-2cm。