
临床资料: 患者,男性,61岁,发现右侧睾丸肿大4+年。专科检查:右侧阴囊及睾丸肿大,局部皮肤无红肿,皮温正常,右侧睾丸约鹅蛋大小,质地硬,表面光滑,可活动,左侧正常,双侧腹股沟未扪及明显淋巴结肿大,透光实验阴性。术中见:睾丸鞘膜内少许淡黄色渗液约10ml,睾丸色呈灰白,质地硬,附睾稍增大。彩超检查:右侧睾丸大小约3.6×4.5cm,形态饱满,内回声不均质。其内扪及大小约3.2×3.7cm的混合回声团块,边界可见,形态较规则,内回声不均质,其内可见0.3×0.3cm的强光斑,后伴声影,团块内及周边可见丰富血流信号。提示:右侧睾丸混合回声团块?盆腔CT:右侧阴囊见约4.8×3.5cm不均质密度团块影,内见高密度结节影。考虑占位病变,检查提示睾丸肿物。
大体所见: 送检灰白灰褐色不规则组织一块,大小约8.7×6×3.5cm,切面可见灰白间灰黄色包块一个,大小约5×4.5×3.5cm,切面灰白灰黄色,质中等。
免疫组化: 无
临床资料: 患者因“拔甲后右足第三脚趾红肿1+年,乌黑2+月”入院。查体:右足第三脚趾乌黑、伴有渗液,右足远端肿胀、红蕴、压痛、局部皮温高;余关节无明显畸形,无肌肉萎缩,活动自如。右足CT:1、右足第3远节趾骨组织肿胀,感染性病变?请结合临床。2、右足第1近节趾骨近端小囊变。
大体所见: 无
免疫组化: 无
临床资料: 患者,男性,43岁,右侧肾上腺占位3+年入院,1+年以来逐渐发现高血压、高血糖、高血脂症,近期反复出现心悸、心慌伴头晕、乏力。CT示:右侧肾上腺外支结节状增粗,截面大小约30.5mm×18.8mm,密度不均,可见斑点状高密度影,增强扫描呈不均轻度强化。术中所见:右侧肾上腺外侧支可见大小约3×2cm类圆形肿物,与肝脏面腹膜粘连,质地较韧,术中触及肿瘤血压未见波动,切除肿瘤送检。
大体所见: 灰黄软组织一块,4.7×3.5×2cm,切开见一包块3.3×3×1.7cm,切面灰褐,实性,质中,边界清。
免疫组化: 无
临床资料: 男性,69岁,体检发现右侧肾上腺肿物3年入院。CT示:右侧肾上腺区见大小约48×42mm类圆形囊实性团块灶,形态规则,增强扫描病变边缘的实性部分有明显强化,囊性部分未见明显强化;高血压病史3+年。术中所见:右侧肾上腺可见大小约4.0×3.5cm圆形新生物,与周围组织粘连,术中血压明显波动,最高220/90毫米汞柱,切除肿瘤送检。
大体所见: 包块一个,5×4×2.5cm,已剖开,切面呈囊实性,囊性区3×3×1.8cm,囊内容物已流失,囊壁较光滑,实性区切面灰黄,质中。
免疫组化: 无
临床资料: 患者,女,66岁,以急性结石性胆囊炎入院,CT检查发现右上腹混杂密度团块,与邻近胃壁、小肠分界不清。术中所见:右上腹可见15cm×12cm×10cm巨大占位,大网膜包裹,表面光滑,质地较韧,活动度好,游离周围组织后,发现肿瘤位于大弯侧。
大体所见: 带少许胃粘膜灰白色包膜完整的结节状包块一个,大小约11cm×8cm×8.5cm,切面灰白黄色,质中,可见灶性出血。
免疫组化: 无
临床资料: 患者,女,60岁。因“腹胀1周,检查发现盆腔包块半天”入院。妇科检查:子宫附件分辨不清,盆腔扪及约10cm包块,稍偏右侧,质硬,边界清,不活动,无压痛。彩超检查:腹盆腔探及液性暗区,盆腔探及范围约9.9×6.9cm的混合回声团,形态规则,边界清楚(增大子宫?其它?)。CT检查:盆腔(增强扫描)右侧附件区见团块状囊实性混杂密度影,大小约91×76mm,增强实性成分可见明显强化,子宫及膀胱未见明显异常,盆腔未见肿大淋巴结,盆腹腔大量积液。糖类抗原测定(CA-125)(血清):541.66μ/ml↑。
大体所见: 送检“右附件及肿瘤”:灰白灰褐色破碎不整形组织一堆,总体积10cm×9cm×6cm,其中可见卵巢增大,呈囊实性,多方,囊内见水样及胶冻样物质,囊壁见大量菜花样新生物,质脆
免疫组化: 无
临床资料: 患者女,53岁,自诉1年前无意中发现左侧大腿包块,约鸡蛋大小,包块逐渐增大,伴轻度酸胀不适,局部无红肿、发热、静息痛、夜间痛,无全身发热、低热、盗汗、咳嗽等症状,院外未行治疗,至我院骨科门诊就诊,行彩超检查提示“左侧大腿骨中间肌占位”,MR检查结果示“1.左侧大腿上段股中间肌-外侧肌肌间隙占位,考虑肿瘤性病变,其他性质不除外,请进一步检查;2.扫及子宫多发肌瘤可能,请结合超声检查”。门诊以“左下肢肿瘤(大腿前外侧,性质待查)”收住入院。
大体所见: 黄白肿块一个,13×7×5cm,包膜完整,切面黄白实性质中,选(1-8)。
免疫组化: 无
临床资料: 患者,女性,61岁,临床诊断:左侧腹股沟包块,性质?送检标本:左侧腹股沟包块。
大体所见: 灰白不规则包块一个,大小为6.1×5.2×2.2cm,切面灰白间暗红色,质软。
免疫组化: 无
临床资料: 患者,女性,53岁,临床诊断:肝脏占位,性质?送检标本:CT引导下肝占位穿刺活检组织。
大体所见: 灰白色组织5条,长0.8-1.5cm,直径0.1cm。
免疫组化: 无
临床资料: 患者,女,77岁,主诉“突发肛周疼痛1周”,查体:肛周3点肛缘处一2×2cm包块,表面皮肤暗红,包块质软、触痛明显、边缘清楚,皮温稍高。肛周彩超:考虑炎性改变。
大体所见: 巨检:“肛周组织”:灰白灰褐淡黄色补整形组织3块,大小约3×2×1.5cm,切面灰白色,实性质中,剖后全送。
免疫组化: 无
临床资料: 患者女,72岁,因发现左大腿包块1+年入院,入院查体:左大腿后侧见一直径约0.5cm黑色包块,突出表面约0.5cm,包块少血渗血,周围无红肿,包块质软,活动度可,边缘清楚,肢端感觉、活动无明显异常。
大体所见: 带皮组织一块,皮瓣大小约1.5×0.8cm,其上见一灰褐色凸起,大小约1×0.4cm,高出皮面约0.6cm,表面呈乳头状,基底切缘绿染。
免疫组化: 无
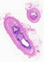
临床资料: 患者男,73岁,因头晕、头痛20天入院,入院后诉腹痛难忍,无恶恶心、呕吐,无腹泻。急诊腹部CT示:腹部肠管散在气球影;阑尾粪石。术中见:阑尾长约8cm,直径约0.8cm,表面充血、水肿。
大体所见: 阑尾1条,长约6.5cm,管径约0.5-0.6cm,表面充血、水肿,切面灰褐,腔内见粪石,质中。
免疫组化: 无