
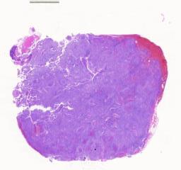
临床资料: 病人信息,女,72岁,取材部位:左颈部淋巴结,临床病史:患者1周无意间发现左颈部肿块,无压痛,无发热、头痛、咳哦、咳痰、胸痛、胸闷,无尿频、尿痛、盗汗等不适(送至我院门诊)彩超提示:左侧颈部多发肿大淋巴结,建议住院。发病以来,精神状态、饮食一般,睡眠状况上常,小便正常,大便不规律,体力不降,体重无明显变化。特殊影像学及实验室检查:胸腹部CT提示:双侧颈部、颈后、锁骨上窝、颈根部、纵隔、双侧胶窝、心膈角区、肝胃间隙、腹膜后、腹岔腔、双侧髂血管旁、双侧腹股沟区多发小及肿大淋巴结,考虑淋巴瘤可能性大。脾大。其他实验室检查:肿瘤标志物(CA199):50.17U/L(0-35)巨细胞病毒DNA检测:<5X10copies/ml(<5X102)EB病毒DNA检测:<5.00E+copies/ml(≤5.00E+2)乳酸脱氢酶(LDH):824U/L(90-245)B2微球蛋白:6.84mg/L(1.3-3.0)血沉:57mm/h(0-30)
临床资料: 病人信息:患者,女,62岁,患者2月前无诱因间断发热,体温最高39.0℃,热型无规律,伴乏力、偶有咳嗽,无明显咳痰、胸痛、咯血、颈部疼痛、腹痛、腹泻、尿频、尿急、尿痛、关节肌肉疼痛、皮疹、双手雷诺、脱发、口腔溃疡等症,曾输液7天(具体不详),效不佳,发热时间断口服退热药,近1月诉持续发热。血常规:白细胞数目2.65×10^9/L;单核细胞百分比18.7%;淋巴细胞数目0.60×10^9/L;中性粒细胞数目1.53×10^9/L;嗜酸性细胞数目0.01×10^9/L;红细胞数目3.16×10^12/L;血红蛋白79g/L;红细胞压积25.8%;平均红细胞体积81.7fL;平均红细胞血红蛋白含量25.1pg;平均红细胞血红蛋白浓度306g/L;红细胞分布宽度变异系数17.3%;血小板压积0.296%;血沉134mm/h;C反应蛋白125.17mg/L;心肌酶谱(五项):乳酸脱氢酶361U/L;a羟基丁酸脱氢酶214U/L;降钙素原正常。EB病毒DNA定量(血清)(2025-11-1014:45:04):Eb病毒DNA定量2.216E+05IU/mL(参考范围:<1.00E+02IU/mL)。外周血形态分析:血红蛋白含量、红细胞数均减低。成熟红细胞大小不等,可见嗜多色红细胞。中性粒细胞核左移(杆状核粒细胞约占25%),可见少量中、晚幼粒细胞。部分中性粒细胞胞浆内可见粗大颗粒、空泡。血小板常见。骨髓细胞形态学:增生活跃骨髓象,粒系核左移,部分细胞可见毒性改变;内铁阳性率减低,请结合临床及其他检查。骨髓活检:倾向炎症性病变,请结合临床、感染及其他相关检查进一步协诊,原幼细胞比例小于5%,巨核细胞未见明显病态造血,未见明显异型淋巴细胞,浆细胞比例小于5%。查体:颈部、腋下、腹股沟等处多发淋巴结肿大。大体检查:灰红色结节一枚,大小为2.3×1.8×1cm,切面灰白色,质地细腻。(取材部位:右颈部淋巴结)
临床资料: 病人信息,女,69岁,取材部位:腋窝淋巴结临床病史:左侧腋窝下肿物7月余;特殊影像学及实验室检查:浅表超声:左侧腋窝肿大淋巴结。给予抗感染治疗(具体不详),自觉左侧腋窝淋巴结缩小。后患者自觉左侧腋窝肿物仍存在,再次就诊。胸部CT:1.左侧腋窝打发结节及团块影,请结合临床,建议CT增强检查:2.双肺散在磨玻璃结节影,多考虑炎性可能,建议随访观察;3.右肺上叶少许沿淋巴道分布条带状及结节状密度增高影,考虑淋巴来源病变,建议进一步检查实验室检查结果回示:血常规无异常。
临床资料: 病人信息,女,71岁,取材部位:24年取材胃体,25年取材胃体及肝脏穿刺;临床病史:24年:主诉:间断性上腹部疼痛半年余。患者半年前无明显原因出现发作性上腹痛,与进食关系不大,可自行缓解,伴反酸烧心及腹胀暖气,伴恶性呕吐数次,伴食欲減退。特殊影像学及实验室检查:24年:胃镜:贲门及胃底小弯侧、胃体小弯侧、胃角黏膜增厚,皱襞粗糙,呈粘膜下隆起样改变,表面可见扩张的小血管及多发小溃疡。增强CT:贲门-胃体小弯侧胃壁弥漫性不均匀增厚,增强扫描动脉期不均匀轻度强化,门脉期进一步强化,延迟期强化减退,胃小网膜囊区、腹膜后、幽门周围多发肿大淋巴结影,增强扫描轻度强化。25年复查PET/CT检查:较前对比,原贲门-胃体小弯侧胃壁较前增厚,代谢增高,结合病史,考虑胃淋巴瘤复发,原胃小网膜囊及腹膜后多发增大淋巴结较前增大,代谢较前增高,考虑淋巴瘤影像学改变;肝脏及胰腺新见代谢增高灶,考虑淋巴瘤浸润转移。
暂无评论...