
临床资料: 男性,23岁,全身皮肤水疱伴破溃及部分脓皮病样表现8年余,临床以“手背部皮肤脓皮病”收治入院。
大体所见: 手背部皮肤
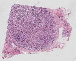
临床资料: 患者,男性,32岁,反复咽部异物感10余天。入住我院耳鼻喉科.专科检查:咽部充血,右侧扁桃体II度肿大,表面溃烂,伴白色分泌物附着,不易拭去。左侧扁桃体正常。血常规:淋巴细胞计数3.95x10^9/L个,淋巴细胞比值59.5%,单核细胞比值12.2%,异型淋巴细胞比值4%,异型淋巴细胞计数0.19x10^9/L个。血EB病毒核酸检测:455.7IU/ml。PET-CT:1、双侧颈部多发高代谢淋巴结,考虑淋巴瘤,累及鼻咽顶后壁、双侧扁桃体,Deauville综合评分为5分,Lugano分期为11期(侵及横隔一侧≥2个淋巴结区域)。2、双侧锁骨区、双侧腋窝、肝门区、双侧腹股沟多发淋巴结,代谢稍高,建议密切随访。
大体所见: 右扁桃体活检
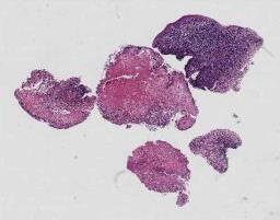
临床资料: 患者,男,67岁主诉:发现淋巴结肿大5月余入院,当地医院行B超提示:右侧腹股沟区淋巴结肿大,大小约5.3*1.6cm,部分淋巴门结构欠清。予以口服消炎药(具体不详),自觉淋巴结稍缩小,后未再复查及治疗。近期自觉颈部淋巴结增大,否认发热、乏力、盗汗等不适,遂至我院门诊就诊。发病以来,神志清,精神可,饮食可,睡眠欠佳,大小便如常,体重、体力无明显变化。
大体所见: 右颈部淋巴结(切片链接:https://zyd.winmedic.cn/#/share?sid=MjMzOA==)(复制网址并粘贴至浏览器地址栏打开)
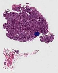
临床资料: 男性,55Y。2020-7月左下肺穿刺确诊肺腺癌(实性为主,cT2bN2M1),基因检测EGFR19del,靶向治疗(吉非替尼→阿美替尼)。2021-10月:左侧咽痛,考虑感染,抗生素+布地奈德雾化后好转。2021-10月~2022年3月:症状反复出现。颈部彩超(2022-03-29):双侧颈部淋巴结肿大(最大径2.8cm)鼻咽镜(2022-03-29):咽喉炎,鼻咽后壁隆起,见少许血迹。
大体所见: 小者:鼻咽部活检;大者:颈部肿物
暂无评论...