
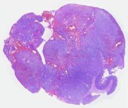
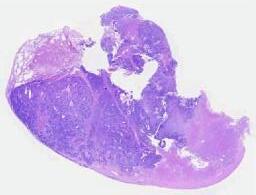
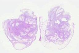
临床资料: 主诉:发现纵隔占位性病变1年。现病史:患者1年前行胸部CT检查发现纵隔占位,结果回示:左前上纵隔占位,胸腺瘤?淋巴结坏死?。无胸闷、气短、胸痛等不适,未行特殊治疗。9个月后患者再次复查胸部CT检查,结果回示:原左前上纵隔区结节影及内低密度影较前稍增大,现范围约55mm×47mm。检查结论:左前上纵隔占位较前稍增大。发病来,精神状态正常,饮食正常,睡眠状况正常,小便正常,大便正常,体力正常,体重无明显变化。术中所见:肿物位于前纵隔左上方,最大径约5.0cm,呈囊状
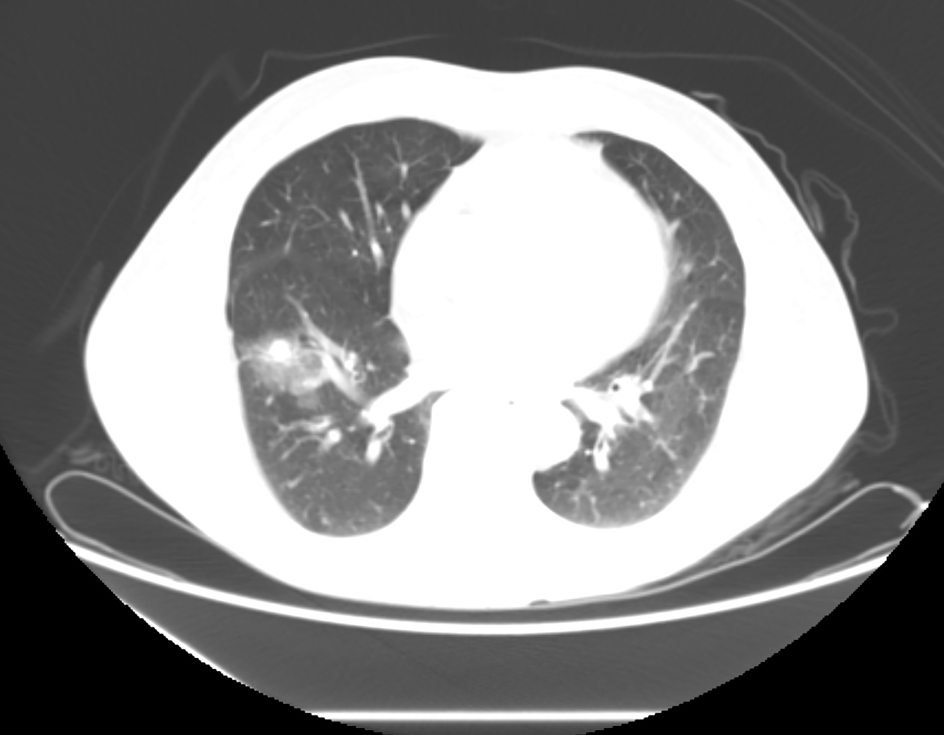
临床资料: 基本信息:女,63岁。现病史:咳嗽、咳痰1月余,胸闷6小时,增强CT显示右肺上叶后段:见肿块(95×76mm),密度不均,增强不均匀强化,与邻近血管分界欠清既往史:自身免疫性疾病“结缔组织病(硬皮病)”;高血压、高血脂20年。
临床资料: 患者,女,34岁,病史:疑似“感冒”后咳嗽咳痰胸闷2周,影像CT:肺占位,生育史:孕3产3,一儿两女进行肺活检,两个月后心包多发结节,进行心包活检。
临床资料: 男性,71岁,2022年5月行CT检查发现右上肺毛玻璃结节(未见检查单),遂就诊于“河南省肿瘤医院”,行“右肺上叶切除术”,病理结果提示鳞癌(未见单),诊断为“右肺鳞癌术后pT1bN0M0”,术后规律复查。2025年于“河南省肿瘤医院”复查,CT(2025.12.02)示:1.右肺上叶术后改变,较前范围相仿;2.右肺下叶结节,倾向恶性,较前相仿;左肺下叶及右肺下叶微小类结节,考虑炎性,较前相仿;3.双肺少许慢性炎症,较前相仿;4.纵隔、双腋窝散在淋巴结,较前相仿;5.冠状动脉走行区条状高密度影,较前相仿;6.双侧胸膜稍增厚,较前相仿;7.所示脾内散在钙化灶,较前相仿;8.左侧第5后肋及T2椎体高密度结节影,较前相仿,考虑骨岛可能。进一步行右肺下叶穿刺活检。
暂无评论...