
临床资料: 患者女,53岁,间断咳嗽、咳痰1周,发现左肺占位2天。胸部CT检查提示左肺门见41mm×22mm软组织肿块。
临床资料: 男,65岁,现病史:无咳嗽、咳痰、胸闷、发热等症状。无眼睑下垂、四肢乏力等特殊不适。影像结果:左肺尖段:混合磨玻璃结节,大小约32*29mm。前纵隔:软组织小结节影,大小约12*7mm。既往病史:平素体检,无特殊。
临床资料: 男性,45岁,CT发现双肺多发结节,较大者位于右肺中叶外侧段,直径约14mm。
临床资料: 女,73岁,14天前体检发现左肺占位性病变合并胸腔积液,无发热、咳嗽、咳痰、胸闷等。既往史:高血压1年;20余年前当地医院“左乳腺癌切除术”,具体不详。影像学:左乳术后,左乳缺如;左肺上叶及右肺中下叶可见片状及云絮状高密度影,边界不清,左肺上叶胸膜下可见实性结节影,大小约28mm×18mm,可见分叶。双肺上叶可见磨玻璃密度结节影,较大者直径约10mm,左肺上叶心影旁另可见一实性小结节影。左侧胸腔可见积气积液影。
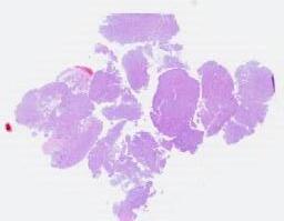
大体所见: 灰黄条状组织2条,长0.2-0.6cm,直径均约0.1cm。
临床资料: 女,37岁,发热(体温高达42℃)、乏力、纳差2天入院。多种病原体检测均阴性。既往体检,无肿瘤病史。外院CT:右肺下叶占位。气管镜下见:右肺下叶段支气管新生物阻塞管腔,经内镜下肿瘤治疗,治疗后右肺下叶基底段支气管开口正常,右下叶背段开口狭窄,部分新生物阻塞管腔,远端无法进境。
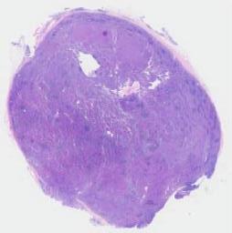
大体所见: 我院胸腔镜下右肺下叶切除,大体见:灰黄色肿瘤,最大径2.5cm,实性质软,部分位于支气管腔内。