
临床资料: 患者女性,31岁。主诉:阴道出血8月,彩超提示宫腔异常回声2月。现病史:8月前无明显诱因出现阴道出血,持续至今,量时多时少,量多至每日可湿透3片夜用卫生间,量少至血染1片护垫,有下腹部隐痛,呈间断性,无头晕、乏力等不适,未在意。2月前因“阴道出血”就诊于焦作市妇幼保健院行盆腔彩超:宫腔内不均质高回声(45mm×25mm)。自行“口服中药”(具体不详)治疗,效差。1天前因“阴道出血”就诊于焦作市中医院行盆腔彩超:宫腔内异常回声(56.4mm×27.4mm),建议进一步检查。辅助检查:盆腔彩超(焦煤中央医院2024.12.31):子宫内膜增厚(24mm),回声极不均匀,内可见少许血流信号,建议诊刮。盆腔彩超(焦作市妇幼保健院2025.02.26):宫腔内不均质高回声(46mm×26mm)。
临床资料: 患者,女,42岁。因“发现子宫肌瘤20年,经量增多5年”入院。平时月经规律,2年前经量远多于正常月经量1次,到医院行微创手术治疗(具体不详),术后症状无明显缓解。自觉今年开始经量再次增多,21天前到医院查超声提示子宫体不均质回声。术中探查见左侧宫角可见多个息肉样组织,大的约0.8x0.3cm,置入环状电极,以环状电切环于肿物根部逐步切除,离断肿物后以小头卵圆钳取出送检。双侧输卵管开口可见,宫颈粘膜光滑,形态正常,无异常增生物。
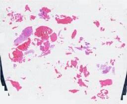
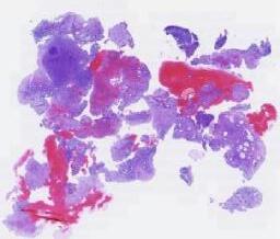
大体所见: (宫腔内容物)灰白、灰褐色碎组织一堆,总体积:2.5cm×2cm×0.4cm,全取。
临床资料: 女,63岁。送检部位:子宫赞生物及宫颈赘生物。主诉:阴道排液10余天;现病史:10余天前无明显诱因出现阴道排液,色清亮,量少,伴下腹痛,无瘙痒等,1天前至我院就诊,妇科检查发现宫颈占位病变。专科检查:宫颈:萎缩,宫颈口可见舌状肿物凸出,大小约5cm*3cm,表面可见血管分布,质地中,蒂部不可明视,触血阴性,无摇举痛;宫体及双侧附件:因萎缩,触诊不清。特殊影像学及实验室检查:子宫附件彩超(经腹):膀胱充盈下探查:子宫:大小约4.3cmx2.2cmx3.0cm,形态可,轮廓清,肌层回声均匀,宫内膜厚约0.3cm。宫颈回声不均匀。宫底周围可见迁曲扩张的静脉血管回声,CDFI:静脉血管内可见血流信号。附件:双侧附件区未见明显包块回声。宫颈回声不均匀。
临床资料: 女,64岁,阴道出血入院,手术中冰冻检查显示恶性肿瘤,行全子宫双附件及盆腔淋巴结清扫标本。
临床资料: 患者,女,57岁。现病史:1月前无明显诱因突然出现阴道出血,量少,色淡红,2周前阴道出血增多,色鲜红,如月经量,当地医院超声提示子宫内膜增厚,回声不均匀,宫腔镜诊刮病理:(宫内容物)高级别子宫内膜腺癌,考虑为去分化子宫内膜癌;MRI提示子宫后壁内膜增厚并不规则软组织肿块,侵犯深肌层。既往史:12年前卵巢成熟性畸胎瘤术后;脑梗;实验室检查:HPV(-),肿瘤标记物:CEA:7.78,CA125:22.9,CA199:10.5,鳞状上皮细胞癌抗原:1.19,AFP:3.84,HCG:0.93。
临床资料: 患者,女,61岁。送检部位:宫腔占位。主诉:7天前无明显诱因阴道排液、烂米汤样。影像:当地医院B超内可见范围8.3cm*4.9cm低回声占位。
临床资料: 女,33岁,发现宫腔占位1年余。现病史:平素月经规律,经期5天,周期30天,量中等,色暗红,偶有痛经,末次月经:2023-06-02;1年前在郑州市体检中心行腹部超声检查发现:宫腔占位(未见报告单);1月前至我院门诊复查三维阴超示:【实时三维阴式超声检查】子宫:宫体大小约50X46X54mm,形态正常,轮廓清晰,肌壁回声均匀。(节育环未见)宫腔内可见范围约39×23×22mm不均匀高回声,局部与子宫壁分界不清,似侵入后壁肌层内,形态规则,内可见多个点状强回声,CDFI:内可见杂乱、丰富血流信号,RI:0.45。双侧卵巢大小正常。盆腔:未探及明显液性暗区;超声诊断意见:宫腔内不均匀高回声(息肉样变?内膜Ca?建议宫腔镜进一步检查)。既往史:2019年在我院行腹腔镜下左侧卵巢囊肿剥除术+卵巢复位术+修补术+左侧输卵管系膜囊肿剥除术+肠粘连松解术+屏障物置入术。
临床资料: 女,56岁。送检部位:全切子宫。病史:月经紊乱6年,阴道出血5月余。彩超:子宫体积125×90x99mm,子宫底前壁见93x59mm低回声,边界不清,回声不均匀,腺肌症合并腺肌瘤?
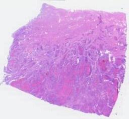
大体所见: 破碎子宫,总体积11.0×7.0x5.0cm,肌壁厚3.0cm,切面局部呈暗红色,内膜灰红色,见一息肉样隆起,大小1.5×0.9×0.4cm。另见灰白组织数块,总体积10.0x7.0x5.0cm,切面灰白灰黄色,部分质软,粘液胶冻状。
暂无评论...